Antibody data
- Antibody Data
- Antigen structure
- References [0]
- Comments [0]
- Validations
- Western blot [1]
- Immunohistochemistry [2]
Submit
Validation data
Reference
Comment
Report error
- Product number
- AP23885PU-N - Provider product page

- Provider
- OriGene
- Product name
- MAK10 (NAA35) (N-term) rabbit polyclonal antibody, Purified
- Antibody type
- Polyclonal
- Description
- MAK10 (NAA35) (N-term) rabbit polyclonal antibody, Purified
- Host
- Rabbit
- Conjugate
- Unconjugated
- Epitope
- NAA35
- Antibody clone number
- NULL
- Vial size
- 50 µg
- Concentration
- 1,0 mg/ml
No comments: Submit comment
Supportive validation
- Submitted by
- OriGene (provider)
- Main image

- Experimental details
- Western blot analysis of MAK10 in rat heart tissue lysate with MAK10 antibody at 1 ug/ml in the (A) absence and (B) presence of blocking peptide.
- Validation comment
- WB
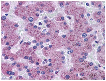
Supportive validation
- Submitted by
- OriGene (provider)
- Main image

- Experimental details
- Human Liver: Formalin-Fixed, Paraffin-Embedded (FFPE)
- Validation comment
- IHC
- Submitted by
- OriGene (provider)
- Main image

- Experimental details
- Human Kidney: Formalin-Fixed, Paraffin-Embedded (FFPE)
- Validation comment
- IHC