Antibody data
- Antibody Data
- Antigen structure
- References [0]
- Comments [0]
- Validations
- Immunocytochemistry [2]
- Immunohistochemistry [5]
Submit
Validation data
Reference
Comment
Report error
- Product number
- PA5-64146 - Provider product page

- Provider
- Invitrogen Antibodies
- Product name
- SLC35C1 Polyclonal Antibody
- Antibody type
- Polyclonal
- Antigen
- Recombinant protein fragment
- Description
- Immunogen sequence: WVRGWEMKKT PEEPSPKDSE KSAMGV Highest antigen sequence identity to the following orthologs: Mouse - 73%, Rat - 73%.
- Reactivity
- Human
- Host
- Rabbit
- Isotype
- IgG
- Vial size
- 100 μL
- Concentration
- 0.05 mg/mL
- Storage
- Store at 4°C short term. For long term storage, store at -20°C, avoiding freeze/thaw cycles.
No comments: Submit comment
Supportive validation
- Submitted by
- Invitrogen Antibodies (provider)
- Main image

- Experimental details
- Immunofluorescent staining of SLC35C1 in human cell line A549 shows positivity in the Golgi apparatus. Samples were probed using a SLC35C1 Polyclonal Antibody (Product # PA5-64146).
- Submitted by
- Invitrogen Antibodies (provider)
- Main image

- Experimental details
- Immunofluorecent analysis of SLC35C1 in human cell line A549 using SLC35C1 Polyclonal Antibody (Product # PA5-64146). Staining shows localization to the Golgi apparatus.
Supportive validation
- Submitted by
- Invitrogen Antibodies (provider)
- Main image

- Experimental details
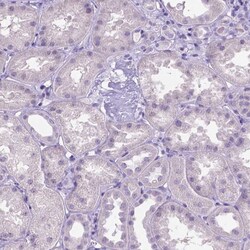
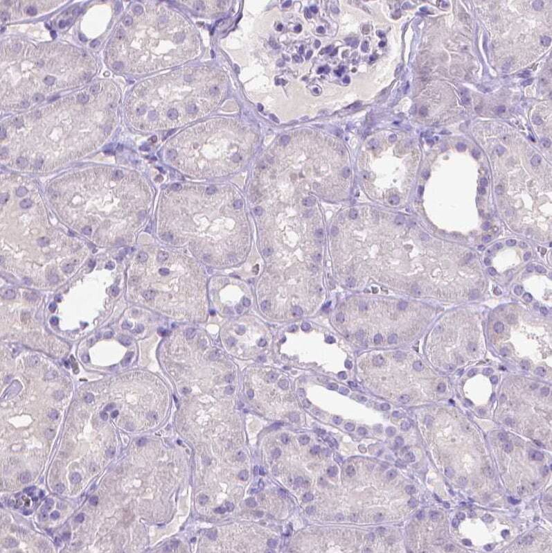
- Immunohistochemical staining of SLC35C1 in human kidney using SLC35C1 Polyclonal Antibody (Product # PA5-64146) shows low expression as expected.
- Submitted by
- Invitrogen Antibodies (provider)
- Main image

- Experimental details
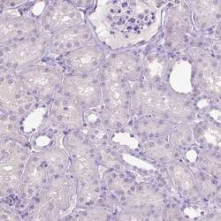
- Immunohistochemical analysis of SLC35C1 in human kidney using SLC35C1 Polyclonal Antibody (Product # PA5-64146) shows no positivity in cells in tubules as expected.
- Submitted by
- Invitrogen Antibodies (provider)
- Main image

- Experimental details
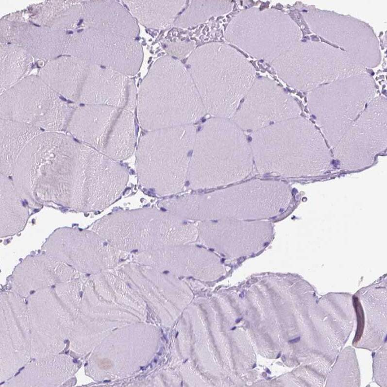
- Immunohistochemical analysis of SLC35C1 in human skeletal muscle using SLC35C1 Polyclonal Antibody (Product # PA5-64146) shows no positivity in myocytes as expected.
- Submitted by
- Invitrogen Antibodies (provider)
- Main image

- Experimental details
- Immunohistochemical staining of SLC35C1 in human small intestine and kidney tissues using SLC35C1 Polyclonal Antibody (Product # PA5-64146). Corresponding SLC35C1 RNA-seq data are presented for the same tissues.
- Submitted by
- Invitrogen Antibodies (provider)
- Main image

- Experimental details
- Immunohistochemical staining of SLC35C1 in human small intestine using SLC35C1 Polyclonal Antibody (Product # PA5-64146) shows high expression.