Antibody data
- Antibody Data
- Antigen structure
- References [0]
- Comments [0]
- Validations
- Western blot [2]
- ELISA [1]
- Immunohistochemistry [2]
- Flow cytometry [1]
Submit
Validation data
Reference
Comment
Report error
- Product number
- NBP2-61760 - Provider product page

- Provider
- Novus Biologicals
- Product name
- Mouse Monoclonal P2Y4/P2RY4 Antibody
- Antibody type
- Monoclonal
- Description
- Protein G purified.
- Reactivity
- Human
- Host
- Mouse
- Isotype
- IgG
- Vial size
- 0.1 ml
- Storage
- Store at 4C short term. Aliquot and store at -20C long term. Avoid freeze-thaw cycles.
No comments: Submit comment
Supportive validation
- Submitted by
- Novus Biologicals (provider)
- Main image

- Experimental details
- Western Blot: P2Y4/P2RY4 Antibody (3B4H6) [NBP2-61760] - Analysis using P2RY4 mAb against HEK293 (1) and P2RY4 (AA: extra mix)-hIgGFc transfected HEK293 (2) cell lysate.
- Submitted by
- Novus Biologicals (provider)
- Main image

- Experimental details
- Western Blot: P2Y4/P2RY4 Antibody (3B4H6) [NBP2-61760] - Analysis using P2RY4 mAb against human P2RY4 (AA: extra mix) recombinant protein. (Expected MW is 10.1 kDa)
Supportive validation
- Submitted by
- Novus Biologicals (provider)
- Main image

- Experimental details
- ELISA: P2Y4/P2RY4 Antibody (3B4H6) [NBP2-61760] - Black line: Control Antigen (100 ng);Purple line: Antigen (10ng); Blue line: Antigen (50 ng); Red line:Antigen (100 ng)
Supportive validation
- Submitted by
- Novus Biologicals (provider)
- Main image

- Experimental details
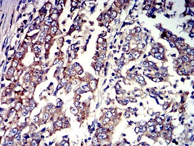
- Immunohistochemistry: P2Y4/P2RY4 Antibody (3B4H6) [NBP2-61760] - Analysis of paraffin-embedded cervical cancer tissues using P2RY4 mouse mAb with DAB staining.
- Submitted by
- Novus Biologicals (provider)
- Main image

- Experimental details
- Immunohistochemistry: P2Y4/P2RY4 Antibody (3B4H6) [NBP2-61760] - Analysis of paraffin-embedded stomach cancer tissues using P2RY4 mouse mAb with DAB staining.
Supportive validation
- Submitted by
- Novus Biologicals (provider)
- Main image

- Experimental details
- Flow Cytometry: P2Y4/P2RY4 Antibody (3B4H6) [NBP2-61760] - Analysis of Hela cells using P2RY4 mouse mAb (green) and negative control (red).