Antibody data
- Antibody Data
- Antigen structure
- References [0]
- Comments [0]
- Validations
- Immunohistochemistry [5]
Submit
Validation data
Reference
Comment
Report error
- Product number
- LS-A105588 - Provider product page
- Provider
- LSBio
- Product name
- IHC-plus™ P2RY4 / P2Y4 Antibody (Cytoplasmic Domain, APC) LS-A105588
- Antibody type
- Polyclonal
- Description
- Immunoaffinity purified
- Reactivity
- Human, Simian
- Host
- Rabbit
- Conjugate
- Red dye
- Storage
- Aliquot and store undiluted at -20°C or below for up to 1 year. Can be stored undiluted at 4°C for up to 1 month. Avoid freeze-thaw cycles.
No comments: Submit comment
Supportive validation
- Submitted by
- LSBio (provider)
- Main image
- Experimental details
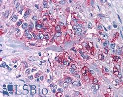
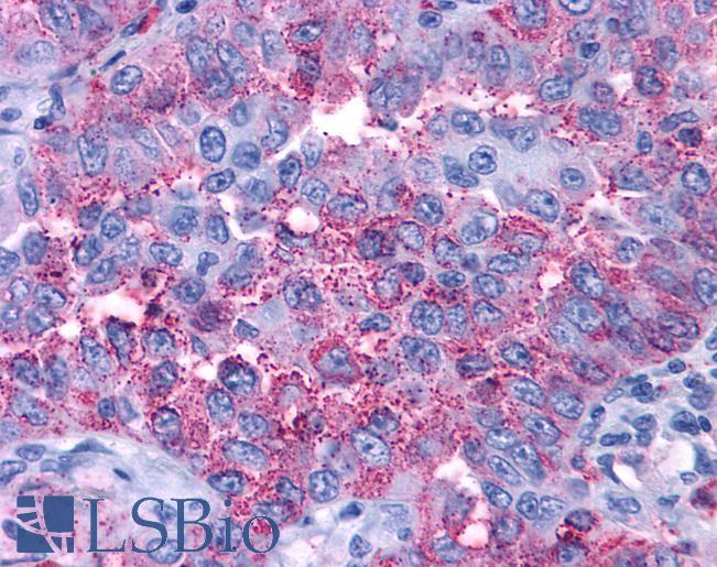
- Anti-P2RY4 / P2Y4 antibody IHC of human Pancreas, Carcinoma. Immunohistochemistry of formalin-fixed, paraffin-embedded tissue after heat-induced antigen retrieval.
- Submitted by
- LSBio (provider)
- Main image
- Experimental details
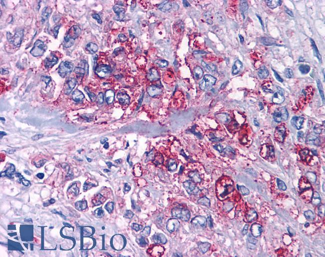
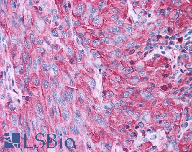
- Anti-P2RY4 / P2Y4 antibody IHC of human Skin, Melanoma. Immunohistochemistry of formalin-fixed, paraffin-embedded tissue after heat-induced antigen retrieval.
- Submitted by
- LSBio (provider)
- Main image
- Experimental details
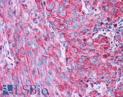
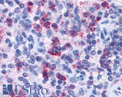
- Anti-P2RY4 / P2Y4 antibody IHC of human Lung, Non-Small Cell Carcinoma. Immunohistochemistry of formalin-fixed, paraffin-embedded tissue after heat-induced antigen retrieval.
- Submitted by
- LSBio (provider)
- Main image
- Experimental details
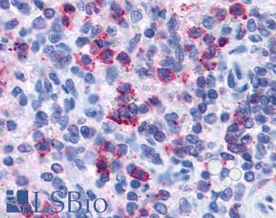
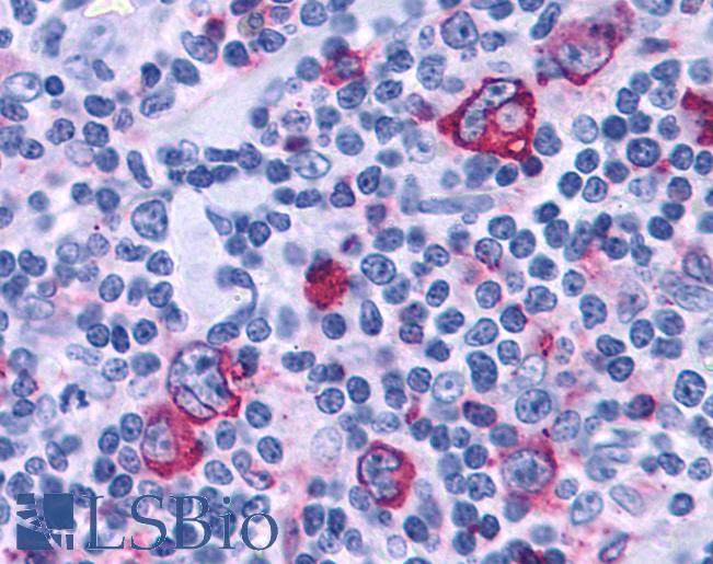
- Anti-P2RY4 / P2Y4 antibody IHC of human Lymph Node, Hodgkins Lymphoma. Immunohistochemistry of formalin-fixed, paraffin-embedded tissue after heat-induced antigen retrieval.
- Submitted by
- LSBio (provider)
- Main image
- Experimental details
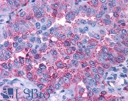
- Anti-P2RY4 / P2Y4 antibody IHC of human spleen. Immunohistochemistry of formalin-fixed, paraffin-embedded tissue after heat-induced antigen retrieval.