Antibody data
- Antibody Data
- Antigen structure
- References [3]
- Comments [0]
- Validations
- Western blot [2]
- Immunohistochemistry [4]
Submit
Validation data
Reference
Comment
Report error
- Product number
- NBP1-89324 - Provider product page

- Provider
- Novus Biologicals
- Proper citation
- Novus Cat#NBP1-89324, RRID:AB_11035835
- Product name
- Rabbit Polyclonal PRKAG2 Antibody
- Antibody type
- Polyclonal
- Description
- Immunogen affinity purified. Specificity of human PRKAG2 antibody verified on a Protein Array containing target protein plus 383 other non-specific proteins.
- Reactivity
- Human, Mouse, Rat
- Host
- Rabbit
- Isotype
- IgG
- Vial size
- 0.1 ml
- Storage
- Store at 4C short term. Aliquot and store at -20C long term. Avoid freeze-thaw cycles.
Submitted references Fiber type-specific analysis of AMPK isoforms in human skeletal muscle: advancement in methods via capillary nanoimmunoassay.
Subunit composition of AMPK trimers present in the cytokinetic apparatus: Implications for drug target identification.
Generation of digital responses in stress sensors.
Tobias IS, Lazauskas KK, Arevalo JA, Bagley JR, Brown LE, Galpin AJ
Journal of applied physiology (Bethesda, Md. : 1985) 2018 Apr 1;124(4):840-849
Journal of applied physiology (Bethesda, Md. : 1985) 2018 Apr 1;124(4):840-849
Subunit composition of AMPK trimers present in the cytokinetic apparatus: Implications for drug target identification.
Pinter K, Jefferson A, Czibik G, Watkins H, Redwood C
Cell cycle (Georgetown, Tex.) 2012 Mar 1;11(5):917-21
Cell cycle (Georgetown, Tex.) 2012 Mar 1;11(5):917-21
Generation of digital responses in stress sensors.
Martiáñez T, Francès S, López JM
The Journal of biological chemistry 2009 Sep 4;284(36):23902-11
The Journal of biological chemistry 2009 Sep 4;284(36):23902-11
No comments: Submit comment
Supportive validation
- Submitted by
- Novus Biologicals (provider)
- Main image

- Experimental details
- Western Blot: PRKAG2 Antibody [NBP1-89324] - Western blot analysis in mouse cell line NIH-3T3, rat cell line NBT-II and rat cell line pC12.
- Submitted by
- Novus Biologicals (provider)
- Main image

- Experimental details
- Western Blot: PRKAG2 Antibody [NBP1-89324] - Analysis in human cell line A-431.
Supportive validation
- Submitted by
- Novus Biologicals (provider)
- Main image

- Experimental details
- Immunohistochemistry-Paraffin: PRKAG2 Antibody [NBP1-89324] - Staining of human skin shows moderate to strong positivity in nuclear membrane in keratinocytes
- Submitted by
- Novus Biologicals (provider)
- Main image

- Experimental details
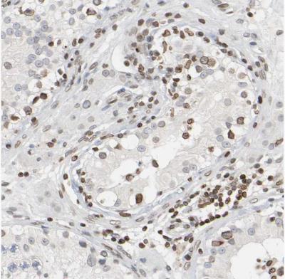
- Immunohistochemistry-Paraffin: PRKAG2 Antibody [NBP1-89324] - Staining of human kidney shows moderate to strong positivity in nuclear membrane in cells in tubules.
- Submitted by
- Novus Biologicals (provider)
- Main image

- Experimental details
- Immunohistochemistry-Paraffin: PRKAG2 Antibody [NBP1-89324] - Staining of human testis shows moderate to strong positivity in nuclear membrane in cells in seminiferous ducts.
- Submitted by
- Novus Biologicals (provider)
- Main image

- Experimental details
- Immunohistochemistry-Paraffin: PRKAG2 Antibody [NBP1-89324] - Staining of human prostate shows moderate to strong positivity in nuclear membrane in glandular cells.