Antibody data
- Antibody Data
- Antigen structure
- References [3]
- Comments [0]
- Validations
- Western blot [2]
- Immunohistochemistry [10]
Submit
Validation data
Reference
Comment
Report error
- Product number
- NBP1-81035 - Provider product page

- Provider
- Novus Biologicals
- Proper citation
- Novus Cat#NBP1-81035, RRID:AB_11035939
- Product name
- Rabbit Polyclonal MPRIP Antibody
- Antibody type
- Polyclonal
- Description
- Immunogen affinity purified. Specificity of human, mouse, rat MPRIP antibody verified on a Protein Array containing target protein plus 383 other non-specific proteins.
- Reactivity
- Human, Mouse, Rat
- Host
- Rabbit
- Isotype
- IgG
- Vial size
- 0.1 ml
- Storage
- Store at 4C short term. Aliquot and store at -20C long term. Avoid freeze-thaw cycles.
Submitted references p116Rip promotes myosin phosphatase activity in airway smooth muscle cells.
Dual role for DOCK7 in tangential migration of interneuron precursors in the postnatal forebrain.
Genome-wide identification of miR-200 targets reveals a regulatory network controlling cell invasion.
Komatsu S, Wang L, Seow CY, Ikebe M
Journal of cellular physiology 2020 Jan;235(1):114-127
Journal of cellular physiology 2020 Jan;235(1):114-127
Dual role for DOCK7 in tangential migration of interneuron precursors in the postnatal forebrain.
Nakamuta S, Yang YT, Wang CL, Gallo NB, Yu JR, Tai Y, Van Aelst L
The Journal of cell biology 2017 Dec 4;216(12):4313-4330
The Journal of cell biology 2017 Dec 4;216(12):4313-4330
Genome-wide identification of miR-200 targets reveals a regulatory network controlling cell invasion.
Bracken CP, Li X, Wright JA, Lawrence DM, Pillman KA, Salmanidis M, Anderson MA, Dredge BK, Gregory PA, Tsykin A, Neilsen C, Thomson DW, Bert AG, Leerberg JM, Yap AS, Jensen KB, Khew-Goodall Y, Goodall GJ
The EMBO journal 2014 Sep 17;33(18):2040-56
The EMBO journal 2014 Sep 17;33(18):2040-56
No comments: Submit comment
Supportive validation
- Submitted by
- Novus Biologicals (provider)
- Main image

- Experimental details
- Western Blot: MPRIP Antibody [NBP1-81035] - Analysis in mouse cell line NIH-3T3 and rat cell line NBT-II.
- Submitted by
- Novus Biologicals (provider)
- Main image

- Experimental details
- Western Blot: MPRIP Antibody [NBP1-81035] - Analysis in human cell line PC-3.
Supportive validation
- Submitted by
- Novus Biologicals (provider)
- Main image

- Experimental details
- Immunohistochemistry-Paraffin: MPRIP Antibody [NBP1-81035] - Staining of human liver shows low expression as expected.
- Submitted by
- Novus Biologicals (provider)
- Main image

- Experimental details
- Immunohistochemistry-Paraffin: MPRIP Antibody [NBP1-81035] - Staining of human smooth muscle shows high expression.
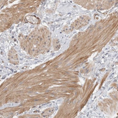
- Submitted by
- Novus Biologicals (provider)
- Main image

- Experimental details
- Immunohistochemistry-Paraffin: MPRIP Antibody [NBP1-81035] - Staining in human smooth muscle and liver tissues using anti-MPRIP antibody. Corresponding MPRIP RNA-seq data are presented for the same tissues.
- Submitted by
- Novus Biologicals (provider)
- Main image

- Experimental details
- Immunohistochemistry-Paraffin: MPRIP Antibody [NBP1-81035] - Staining of human cerebral cortex.
- Submitted by
- Novus Biologicals (provider)
- Main image

- Experimental details
- Immunohistochemistry-Paraffin: MPRIP Antibody [NBP1-81035] - Staining of human testis.
- Submitted by
- Novus Biologicals (provider)
- Main image

- Experimental details
- Immunohistochemistry-Paraffin: MPRIP Antibody [NBP1-81035] - Staining of human cerebral cortex shows moderate cytoplasmic positivity in neuropil.
- Submitted by
- Novus Biologicals (provider)
- Main image

- Experimental details
- Immunohistochemistry-Paraffin: MPRIP Antibody [NBP1-81035] - Staining of human cerebral cortex, fallopian tube, liver and prostate using Anti-MPRIP antibody NBP1-81035 (A) shows similar protein distribution across tissues to independent antibody NBP1-81036 (B).
- Submitted by
- Novus Biologicals (provider)
- Main image

- Experimental details
- Immunohistochemistry-Paraffin: MPRIP Antibody [NBP1-81035] - Staining of human Fallopian tube shows moderate positivity in apical membrane in glandular cells.
- Submitted by
- Novus Biologicals (provider)
- Main image

- Experimental details
- Immunohistochemistry-Paraffin: MPRIP Antibody [NBP1-81035] - Staining of human liver shows moderate cytoplasmic positivity in hepatocytes.
- Submitted by
- Novus Biologicals (provider)
- Main image

- Experimental details
- Immunohistochemistry-Paraffin: MPRIP Antibody [NBP1-81035] - Staining of human prostate shows weak to moderate cytoplasmic positivity in smooth muscle cells.