Antibody data
- Antibody Data
 - Antigen structure
 - References [0]
 - Comments [0]
 - Validations
 - Western blot [2]
 - ELISA [3]
 - Immunohistochemistry [6]
 
Submit
Validation data
Reference
Comment
Report error
- Product number
 - LS-C169426 - Provider product page

 - Provider
 - LSBio
 - Product name
 - KIF22 / OBP Antibody (clone 1E3) LS-C169426
 - Antibody type
 - Monoclonal
 - Description
 - Ascites
 - Reactivity
 - Human
 - Host
 - Mouse
 - Isotype
 - IgG
 - Antibody clone number
 - 1E3
 - Storage
 - Short term: store at 4°C. Long term: store at -20°C.
 
				No comments: Submit comment	
	
			
							
					Enhanced validation
					
									
				
				- Submitted by
 - LSBio (provider)
 - Enhanced method
 - Genetic validation
 - Main image
 
- Experimental details
 - Western blot using KID monoclonal antibody against human KID (AA: 225-419) recombinant protein. (Expected MW is 47 kDa)
 
- Submitted by
 - LSBio (provider)
 - Enhanced method
 - Genetic validation
 - Main image
 
- Experimental details
 - Western blot using KID monoclonal antibody against HEK293 (1) and KID(AA: 225-419)-hIgGFc transfected HEK293 (2) cell lysate.
 
							
					Supportive validation
					
									
				
				- Submitted by
 - LSBio (provider)
 - Enhanced method
 - Genetic validation
 - Main image
 
- Experimental details
 - Red: Control Antigen (100ng); Purple: Antigen (10ng); Green: Antigen (50ng); Blue: Antigen (100ng);
 
- Submitted by
 - LSBio (provider)
 - Main image
 
- Experimental details
 - Red: Control Antigen (100ng); Purple: Antigen (10ng); Green: Antigen (50ng); Blue: Antigen (100ng);
 
- Submitted by
 - LSBio (provider)
 - Main image
 
- Experimental details
 - Red: Control Antigen (100ng); Purple: Antigen (10ng); Green: Antigen (50ng); Blue: Antigen (100ng);
 
							
					Enhanced validation
					
									
				
		- Submitted by
 - LSBio (provider)
 - Enhanced method
 - Genetic validation
 - Main image
 
- Experimental details
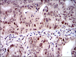
 - IHC of paraffin-embedded rectum cancer tissues using KID mouse monoclonal antibody with DAB staining.
 
- Submitted by
 - LSBio (provider)
 - Enhanced method
 - Genetic validation
 - Main image
 
- Experimental details
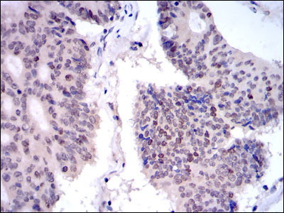
 - IHC of paraffin-embedded colon cancer tissues using KID mouse monoclonal antibody with DAB staining.
 
- Submitted by
 - LSBio (provider)
 - Enhanced method
 - Genetic validation
 - Main image
 
- Experimental details
 - IHC of paraffin-embedded rectum cancer tissues using KID mouse monoclonal antibody with DAB staining.
 
- Submitted by
 - LSBio (provider)
 - Enhanced method
 - Genetic validation
 - Main image
 
- Experimental details
 - IHC of paraffin-embedded colon cancer tissues using KID mouse monoclonal antibody with DAB staining.
 
- Submitted by
 - LSBio (provider)
 - Main image
 
- Experimental details
 - IHC of paraffin-embedded rectum cancer tissues using KID mouse monoclonal antibody with DAB staining.
 
- Submitted by
 - LSBio (provider)
 - Main image
 
- Experimental details
 - IHC of paraffin-embedded colon cancer tissues using KID mouse monoclonal antibody with DAB staining.