Antibody data
- Antibody Data
 - Antigen structure
 - References [0]
 - Comments [0]
 - Validations
 - Western blot [2]
 - ELISA [1]
 - Immunohistochemistry [2]
 - Flow cytometry [1]
 
Submit
Validation data
Reference
Comment
Report error
- Product number
 - NBP2-37550 - Provider product page

 - Provider
 - Novus Biologicals
 - Product name
 - Mouse Monoclonal KIF22 Antibody
 - Antibody type
 - Monoclonal
 - Description
 - Unpurified.
 - Reactivity
 - Human
 - Host
 - Mouse
 - Isotype
 - IgG
 - Vial size
 - 0.1 ml
 - Storage
 - Store at 4C short term. Aliquot and store at -20C long term. Avoid freeze-thaw cycles.
 
				No comments: Submit comment	
	
			
							
					Supportive validation
					
									
				
				- Submitted by
 - Novus Biologicals (provider)
 - Main image
 
- Experimental details
 - Western Blot: KIF22 Antibody (1E3) [NBP2-37550] - Aalysis using KID mAb against human KID (AA: 225-419) recombinant protein. (Expected MW is 47 kDa)
 
- Submitted by
 - Novus Biologicals (provider)
 - Main image
 
- Experimental details
 - Western Blot: KIF22 Antibody (1E3) [NBP2-37550] - Analysis using KID mAb against HEK293 (1) and KID(AA: 225-419)-hIgGFc transfected HEK293 (2) cell lysate.
 
							
					Supportive validation
					
									
				
				- Submitted by
 - Novus Biologicals (provider)
 - Main image
 
- Experimental details
 - ELISA: KIF22 Antibody (1E3) [NBP2-37550] - Red: Control Antigen (100ng); Purple: Antigen (10ng); Green: Antigen (50ng); Blue: Antigen (100ng);
 
							
					Supportive validation
					
									
				
				- Submitted by
 - Novus Biologicals (provider)
 - Main image
 
- Experimental details
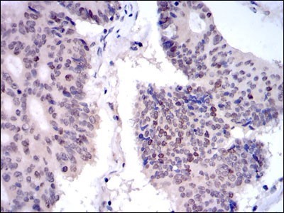
 - Immunohistochemistry-Paraffin: KIF22 Antibody (1E3) [NBP2-37550] - Analysis of rectum cancer tissues using KID mouse mAb with DAB staining.
 
- Submitted by
 - Novus Biologicals (provider)
 - Main image
 
- Experimental details
 - Immunohistochemistry-Paraffin: KIF22 Antibody (1E3) [NBP2-37550] - Analysis of colon cancer tissues using KID mouse mAb with DAB staining.
 
							
					Supportive validation
					
									
				
		- Submitted by
 - Novus Biologicals (provider)
 - Main image
 
- Experimental details
 - Flow Cytometry: KIF22 Antibody (1E3) [NBP2-37550] - Analysis of NIH/3T3 cells using KID mouse mAb (blue) and negative control (red).