Antibody data
- Antibody Data
- Antigen structure
- References [1]
- Comments [0]
- Validations
- Immunohistochemistry [3]
Submit
Validation data
Reference
Comment
Report error
- Product number
- bs-0766R - Provider product page

- Provider
- Bioss
- Proper citation
- Bioss Cat#bs-0766R, RRID:AB_10857931
- Product name
- Rabbit Anti-CD4 Polyclonal Antibody
- Antibody type
- Polyclonal
- Antigen
- CD4
- Description
- Purified by Protein A.
- Reactivity
- Mouse, Rat
- Host
- Rabbit
- Conjugate
- Unconjugated
- Isotype
- IgG
- Vial size
- 100ul
- Concentration
- 1ug/ul
- Storage
- Aqueous buffered solution containing 100ug/ml BSA, 50% glycerol and 0.09% sodium azide. Store at -20°C for 12 months.
Submitted references The role of CXCR3 in the induction of primary biliary cirrhosis.
Zhang W, Fei Y, Gao J, Liu B, Zhang F
Clinical & developmental immunology 2011;2011:564062
Clinical & developmental immunology 2011;2011:564062
No comments: Submit comment
Supportive validation
- Submitted by
- Bioss (provider)
- Main image

- Experimental details
- Formalin-fixed and paraffin embedded rat cells labeled with Rabbit Anti-CD4 Polyclonal Antibody, Unconjugated(bs-0766R) 1:300 followed by conjugation to the secondary antibody and DAB staining.
- Sample type
- Rat
- Other comments
- Others
- Submitted by
- Bioss (provider)
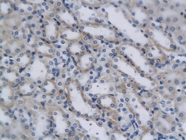
- Main image

- Experimental details
- Formalin-fixed and paraffin embedded mouse kidney cells labeled with Rabbit Anti-CD4 Polyclonal Antibody, Unconjugated (bs-0766R) 1:200 followed by conjugation to the secondary antibody and DAB staining.
- Sample type
- Mouse
- Other comments
- Kidney
- Submitted by
- Bioss (provider)
- Main image

- Experimental details
- Formalin-fixed and paraffin embedded Lymphocytes labeled with Rabbit Anti-CD4 Polyclonal Antibody, Unconjugated(bs-0766R) followed by conjugation to the secondary antibody and DAB staining.
- Sample type
- Others
- Other comments
- Others