Antibody data
- Antibody Data
- Antigen structure
- References [0]
- Comments [0]
- Validations
- Western blot [3]
- Immunohistochemistry [2]
Submit
Validation data
Reference
Comment
Report error
- Product number
- AP42290PU-N - Provider product page

- Provider
- Acris Antibodies GmbH
- Proper citation
- Acris Antibodies GmbH Cat#AP42290PU-N, RRID:AB_11215392
- Product name
- anti ARIH2 / TRIAD1
- Antibody type
- Polyclonal
- Antigen
- The immunogen for anti-ARIH2 antibody: synthetic peptide directed towards the N terminal of human ARIH2
- Reactivity
- Human, Mouse, Rat, Bovine, Canine, Chicken/Avian
- Host
- Rabbit
- Vial size
- 0.1 mg
No comments: Submit comment
Supportive validation
- Submitted by
- Acris Antibodies GmbH (provider)
- Main image

- Experimental details
- Western blotting of human Jurkat cell lysate using AP42290PU-N ARIH2 antibody at 2.5 µg/ml
- Submitted by
- Acris Antibodies GmbH (provider)
- Main image

- Experimental details
- Jurkat; Host: Rabbit. Target Name:ARIH2. Sample Tissue:Jurkat. Lane A: Primary Antibody . Lane B: Primary Antibody + Blocking Peptide . Primary Antibody Concentration:1.25ug/mL. Peptide Concentration: 1.0ug/mL. Lysate Quantity: 25ug/lane. Gel Concentration: 12%. There is BioGPS gene expression data showing that ARIH2 is expressed in Jurkat.; ARIH2 antibody - N-terminal region (AP42290PU-N) in Jurkat cells using Western Blot
- Submitted by
- Acris Antibodies GmbH (provider)
- Main image

- Experimental details
- Human Jurkat; WB Suggested Anti-ARIH2 Antibody Titration: 2.5ug/ml. Positive Control: Jurkat cell lysate. There is BioGPS gene expression data showing that ARIH2 is expressed in Jurkat.; ARIH2 antibody - N-terminal region (AP42290PU-N) in Human Jurkat cells using Western Blot
Supportive validation
- Submitted by
- Acris Antibodies GmbH (provider)
- Main image

- Experimental details
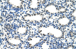
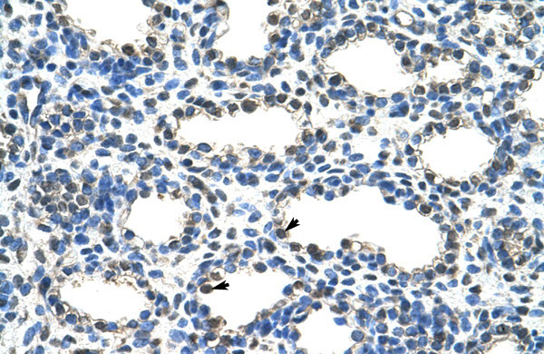
- Staining of paraffin embedded sections of human lung using AP42290PU-N ARIH2 antibody. Note positive staining of alveolar cells (arrows).
- Submitted by
- Acris Antibodies GmbH (provider)
- Main image

- Experimental details
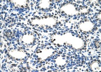
- Human Lung; ARIH2 antibody - N-terminal region (AP42290PU-N) in Human Lung cells using Immunohistochemistry