Antibody data
- Antibody Data
- Antigen structure
- References [1]
- Comments [0]
- Validations
- Western blot [2]
- Immunohistochemistry [1]
Submit
Validation data
Reference
Comment
Report error
- Product number
- ABIN1105441 - Provider product page

- Provider
- antibodies-online
- Product name
- anti-protein ariadne-2 homolog (ARIH2) antibody
- Antibody type
- Polyclonal
- Antigen
- Other
- Reactivity
- Human, Mouse, Rat, Bovine, Canine, Chicken/Avian, Xenopus
- Host
- Rabbit
- Vial size
- 0.1 mg
Submitted references The E3 ubiquitin-protein ligase Triad1 inhibits clonogenic growth of primary myeloid progenitor cells.
Marteijn JA, van Emst L, Erpelinck-Verschueren CA, Nikoloski G, Menke A, de Witte T, Löwenberg B, Jansen JH, van der Reijden BA
Blood 2005 Dec 15;106(13):4114-23
Blood 2005 Dec 15;106(13):4114-23
No comments: Submit comment
Supportive validation
- Submitted by
- antibodies-online (provider)
- Main image

- Experimental details
- Human Jurkat; WB Suggested Anti-ARIH2 Antibody Titration: 2.5ug/ml. Positive Control: Jurkat cell lysate. There is BioGPS gene expression data showing that ARIH2 is expressed in Jurkat.; ARIH2 antibody - N-terminal region (AP42290PU-N) in Human Jurkat cells using Western Blot
- Submitted by
- antibodies-online (provider)
- Main image

- Experimental details
- Jurkat; Host: Rabbit. Target Name:ARIH2. Sample Tissue:Jurkat. Lane A: Primary Antibody . Lane B: Primary Antibody + Blocking Peptide . Primary Antibody Concentration:1.25ug/mL. Peptide Concentration: 1.0ug/mL. Lysate Quantity: 25ug/lane. Gel Concentration: 12%. There is BioGPS gene expression data showing that ARIH2 is expressed in Jurkat.; ARIH2 antibody - N-terminal region (AP42290PU-N) in Jurkat cells using Western Blot
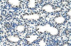
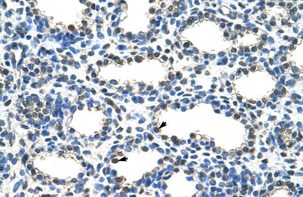
Supportive validation
- Submitted by
- antibodies-online (provider)
- Main image

- Experimental details
- Human Lung; ARIH2 antibody - N-terminal region (AP42290PU-N) in Human Lung cells using Immunohistochemistry