Antibody data
- Antibody Data
- Antigen structure
- References [1]
- Comments [0]
- Validations
- Immunohistochemistry [3]
Submit
Validation data
Reference
Comment
Report error
- Product number
- NLS1200 - Provider product page

- Provider
- Novus Biologicals
- Proper citation
- Novus Cat#NLS1200, RRID:AB_2208943
- Product name
- Rabbit Polyclonal TRHR Antibody
- Antibody type
- Polyclonal
- Description
- Immunogen affinity purified. Human TRH Receptor. BLAST analysis of the peptide immunogen showed no homology with other human proteins.
- Reactivity
- Human, Canine, Sheep, Simian
- Host
- Rabbit
- Isotype
- IgG
- Vial size
- 0.05 ml
- Concentration
- 1.0 mg/ml
- Storage
- Store at 4C short term. Aliquot and store at -20C long term. Avoid freeze-thaw cycles.
Submitted references Biological sequence classification utilizing positive and unlabeled data.
Xiao Y, Segal MR
Bioinformatics (Oxford, England) 2008 May 1;24(9):1198-205
Bioinformatics (Oxford, England) 2008 May 1;24(9):1198-205
No comments: Submit comment
Supportive validation
- Submitted by
- Novus Biologicals (provider)
- Main image

- Experimental details
- Immunohistochemistry-Paraffin: TRHR Antibody [NLS1200] - Analysis of anti-TRH Receptor / TRHR antibody with brain, neurons and glia using this antibody at 16 ug/ ml.
- Submitted by
- Novus Biologicals (provider)
- Main image

- Experimental details
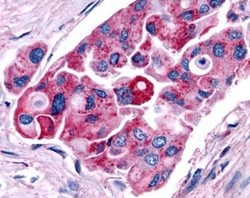
- Immunohistochemistry-Paraffin: TRHR Antibody [NLS1200] - Analysis of anti-TRH Receptor / TRHR antibody with human lung, non-small cell carcinoma.
- Submitted by
- Novus Biologicals (provider)
- Main image

- Experimental details
- Immunohistochemistry-Paraffin: TRHR Antibody [NLS1200] - Anti-TRH Receptor / TRHR antibody IHC of human Ovary, Carcinoma. Immunohistochemistry of formalin-fixed, paraffin-embedded tissue after heat-induced antigen retrieval.