Antibody data
- Antibody Data
- Antigen structure
- References [0]
- Comments [0]
- Validations
- Western blot [2]
- Immunocytochemistry [4]
- Immunohistochemistry [5]
- Flow cytometry [6]
Submit
Validation data
Reference
Comment
Report error
- Product number
- R32747 - Provider product page

- Provider
- NSJ Bioreagents
- Product name
- Cyclophilin A Antibody / PPIA
- Antibody type
- Polyclonal
- Description
- This highly specific Cyclophilin A antibody is suitable for use in Western blot/Immunohistochemistry/Flow cytometry/Immunofluorescence/Immunocytochemistry applications with human, mouse and rat samples.
- Reactivity
- Human, Mouse, Rat
- Host
- Rabbit
- Conjugate
- Unconjugated
- Vial size
- 100 ug
- Concentration
- 0.5mg/ml if reconstituted with 0.2ml sterile DI water
- Storage
- After reconstitution, the Cyclophilin A antibody can be stored for up to one month at 4oC. For long-term, aliquot and store at -20oC. Avoid repeated freezing and thawing.
No comments: Submit comment
Supportive validation
- Submitted by
- NSJ Bioreagents (provider)
- Main image

- Experimental details
- Western blot testing of 1) rat lung, 2) rat brain, 3) mouse lung and 4) human HeLa lysate with Cyclophilin A antibody at 0.5ug/ml. Predicted molecular weight ~18 kDa.
- Submitted by
- NSJ Bioreagents (provider)
- Main image

- Experimental details
- Western blot testing of 1) human ThP-1, 2) human HepG2, 3) human MOLT4, 4) human Daudi, 5) rat lung, 6) rat brain, 7) mouse lung and 8) mouse brain tissue lysate with Cyclophilin A antibody at 0.5ug/ml. Predicted molecular weight ~18 kDa.
Supportive validation
- Submitted by
- NSJ Bioreagents (provider)
- Main image

- Experimental details
- IF/ICC staining of FFPE human A549 cells with Cyclophilin A antibody (green) at 2ug/ml and DAPI nuclear stain (blue). HIER: steam section in pH6 citrate buffer for 20 min.
- Submitted by
- NSJ Bioreagents (provider)
- Main image

- Experimental details
- Immunofluorescent staining of FFPE human ThP-1 cells with Cyclophilin A antibody (green) at 2ug/ml. HIER: steam section in pH6 citrate buffer for 20 min.
- Submitted by
- NSJ Bioreagents (provider)
- Main image

- Experimental details
- IF/ICC staining of FFPE human A549 cells with Cyclophilin A antibody (green) at 2ug/ml and DAPI nuclear stain (blue). HIER: steam section in pH6 citrate buffer for 20 min.
- Submitted by
- NSJ Bioreagents (provider)
- Main image

- Experimental details
- Immunofluorescent staining of FFPE human ThP-1 cells with Cyclophilin A antibody (green) at 2ug/ml. HIER: steam section in pH6 citrate buffer for 20 min.
Supportive validation
- Submitted by
- NSJ Bioreagents (provider)
- Main image

- Experimental details
- IHC testing of FFPE human intestinal cancer tissue with Cyclophilin A antibody at 1ug/ml. Required HIER: steam section in pH6 citrate buffer for 20 min and allow to cool prior to testing.
- Submitted by
- NSJ Bioreagents (provider)
- Main image

- Experimental details
- IHC testing of FFPE mouse intestine tissue with Cyclophilin A antibody at 1ug/ml. Required HIER: steam section in pH6 citrate buffer for 20 min and allow to cool prior to testing.
- Submitted by
- NSJ Bioreagents (provider)
- Main image

- Experimental details
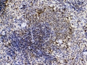
- IHC testing of FFPE rat spleen tissue with Cyclophilin A antibody at 1ug/ml. Required HIER: steam section in pH6 citrate buffer for 20 min and allow to cool prior to testing.
- Submitted by
- NSJ Bioreagents (provider)
- Main image

- Experimental details
- IHC testing of FFPE mouse intestine tissue with Cyclophilin A antibody at 1ug/ml. Required HIER: steam section in pH6 citrate buffer for 20 min and allow to cool prior to testing.
- Submitted by
- NSJ Bioreagents (provider)
- Main image

- Experimental details
- IHC testing of FFPE rat spleen tissue with Cyclophilin A antibody at 1ug/ml. Required HIER: steam section in pH6 citrate buffer for 20 min and allow to cool prior to testing.
Supportive validation
- Submitted by
- NSJ Bioreagents (provider)
- Main image

- Experimental details
- Flow cytometry testing of human U937 cells with Cyclophilin A antibody at 1ug/10^6 cells (blocked with goat sera); Red=cells alone, Green=isotype control, Blue=Cyclophilin A antibody.
- Submitted by
- NSJ Bioreagents (provider)
- Main image

- Experimental details
- Flow cytometry testing of human K562 cells with Cyclophilin A antibody at 1ug/10^6 cells (blocked with goat sera); Red=cells alone, Green=isotype control, Blue=Cyclophilin A antibody.
- Submitted by
- NSJ Bioreagents (provider)
- Main image

- Experimental details
- Flow cytometry testing of human THP-1 cells with Cyclophilin A antibody at 1ug/10^6 cells (blocked with goat sera); Red=cells alone, Green=isotype control, Blue=Cyclophilin A antibody.
- Submitted by
- NSJ Bioreagents (provider)
- Main image

- Experimental details
- Flow cytometry testing of human U937 cells with Cyclophilin A antibody at 1ug/million cells (blocked with goat sera); Red=cells alone, Green=isotype control, Blue=Cyclophilin A antibody.
- Submitted by
- NSJ Bioreagents (provider)
- Main image

- Experimental details
- Flow cytometry testing of human K562 cells with Cyclophilin A antibody at 1ug/million cells (blocked with goat sera); Red=cells alone, Green=isotype control, Blue=Cyclophilin A antibody.
- Submitted by
- NSJ Bioreagents (provider)
- Main image

- Experimental details
- Flow cytometry testing of human THP-1 cells with Cyclophilin A antibody at 1ug/million cells (blocked with goat sera); Red=cells alone, Green=isotype control, Blue=Cyclophilin A antibody.