Antibody data
- Antibody Data
- Antigen structure
- References [16]
- Comments [0]
- Validations
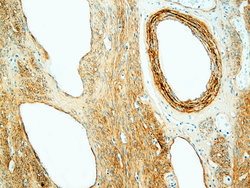
- Immunohistochemistry [1]
Submit
Validation data
Reference
Comment
Report error
- Product number
- ABIN108414 - Provider product page

- Provider
- antibodies-online
- Product name
- anti-Tenascin C (TNC) antibody
- Antibody type
- Monoclonal
- Antigen
- Monoclonal antibody (Mab) to tenascin-C is derived from the hybridoma produced by fusion between myeloma cells and Balb/c spleen cells. Purified tenascin-C from human fetal fibroblasts was used as an immunogen.
- Reactivity
- Human
- Host
- Mouse
- Isotype
- IgG
- Antibody clone number
- EB2
- Vial size
- 100 ug
- Storage
- This product should be stored at +2 C to +8 C
Submitted references Distribution of tenascin-X in different synovial samples and synovial membrane-like interface tissue from aseptic loosening of total hip replacement.
Evidence of airway inflammation and remodeling in ski athletes with and without bronchial hyperresponsiveness to methacholine.
Unaltered distribution of laminins, fibronectin, and tenascin in celiac intestinal mucosa.
Mechanical loading regulates tenascin-C expression in the osteotendinous junction.
Induction of tenascin-C in cardiac myocytes by mechanical deformation. Role of reactive oxygen species.
Transcriptional profile of mechanically induced genes in human vascular smooth muscle cells.
Tenascin is increased in epithelial lining fluid in fibrotic lung disorders.
Expression of tenascin is related to angiogenesis in pre-eclampsia.
Tenascin is increased in airway basement membrane of asthmatics and decreased by an inhaled steroid.
The expression of tenascin and fibronectin in keratoconus, scarred and normal human cornea.
Laminins, tenascin and type VII collagen in colorectal mucosa.
Tenascin immunoreactivity as a prognostic marker in usual interstitial pneumonia.
Transforming growth factor-beta regulates the expression of fibronectin and tenascin in BEAS 2B human bronchial epithelial cells.
Increased release of tenascin in tear fluid after photorefractive keratectomy.
Tenascin in normal, reactive, hyperplastic, and neoplastic tissues: biologic and pathologic implications.
Differential distribution of tenascin in the normal, hyperplastic, and neoplastic breast.
Li TF, Warris V, Ma J, Lassus J, Yoshida T, Santavirta S, Virtanen I, Konttinen YT
Rheumatology international 2000;19(5):177-83
Rheumatology international 2000;19(5):177-83
Evidence of airway inflammation and remodeling in ski athletes with and without bronchial hyperresponsiveness to methacholine.
Karjalainen EM, Laitinen A, Sue-Chu M, Altraja A, Bjermer L, Laitinen LA
American journal of respiratory and critical care medicine 2000 Jun;161(6):2086-91
American journal of respiratory and critical care medicine 2000 Jun;161(6):2086-91
Unaltered distribution of laminins, fibronectin, and tenascin in celiac intestinal mucosa.
Korhonen M, Ormio M, Burgeson RE, Virtanen I, Savilahti E
The journal of histochemistry and cytochemistry : official journal of the Histochemistry Society 2000 Jul;48(7):1011-20
The journal of histochemistry and cytochemistry : official journal of the Histochemistry Society 2000 Jul;48(7):1011-20
Mechanical loading regulates tenascin-C expression in the osteotendinous junction.
Järvinen TA, Jozsa L, Kannus P, Järvinen TL, Kvist M, Hurme T, Isola J, Kalimo H, Järvinen M
Journal of cell science 1999 Sep;112 Pt 18:3157-66
Journal of cell science 1999 Sep;112 Pt 18:3157-66
Induction of tenascin-C in cardiac myocytes by mechanical deformation. Role of reactive oxygen species.
Yamamoto K, Dang QN, Kennedy SP, Osathanondh R, Kelly RA, Lee RT
The Journal of biological chemistry 1999 Jul 30;274(31):21840-6
The Journal of biological chemistry 1999 Jul 30;274(31):21840-6
Transcriptional profile of mechanically induced genes in human vascular smooth muscle cells.
Feng Y, Yang JH, Huang H, Kennedy SP, Turi TG, Thompson JF, Libby P, Lee RT
Circulation research 1999 Dec 3-17;85(12):1118-23
Circulation research 1999 Dec 3-17;85(12):1118-23
Tenascin is increased in epithelial lining fluid in fibrotic lung disorders.
Kaarteenaho-Wiik R, Mertaniemi P, Sajanti E, Soini Y, Pääkkö P
Lung 1998;176(6):371-80
Lung 1998;176(6):371-80
Expression of tenascin is related to angiogenesis in pre-eclampsia.
Ribatti D, Loverro G, Vacca A, Greco P, Roncali L, Selvaggi L
European journal of clinical investigation 1998 May;28(5):373-8
European journal of clinical investigation 1998 May;28(5):373-8
Tenascin is increased in airway basement membrane of asthmatics and decreased by an inhaled steroid.
Laitinen A, Altraja A, Kämpe M, Linden M, Virtanen I, Laitinen LA
American journal of respiratory and critical care medicine 1997 Sep;156(3 Pt 1):951-8
American journal of respiratory and critical care medicine 1997 Sep;156(3 Pt 1):951-8
The expression of tenascin and fibronectin in keratoconus, scarred and normal human cornea.
Tuori A, Virtanen I, Aine E, Uusitalo H
Graefe's archive for clinical and experimental ophthalmology = Albrecht von Graefes Archiv fur klinische und experimentelle Ophthalmologie 1997 Apr;235(4):222-9
Graefe's archive for clinical and experimental ophthalmology = Albrecht von Graefes Archiv fur klinische und experimentelle Ophthalmologie 1997 Apr;235(4):222-9
Laminins, tenascin and type VII collagen in colorectal mucosa.
Lohi J, Leivo I, Tani T, Kiviluoto T, Kivilaakso E, Burgeson RE, Virtanen I
The Histochemical journal 1996 Jun;28(6):431-40
The Histochemical journal 1996 Jun;28(6):431-40
Tenascin immunoreactivity as a prognostic marker in usual interstitial pneumonia.
Kaarteenaho-Wiik R, Tani T, Sormunen R, Soini Y, Virtanen I, Pääkkö P
American journal of respiratory and critical care medicine 1996 Aug;154(2 Pt 1):511-8
American journal of respiratory and critical care medicine 1996 Aug;154(2 Pt 1):511-8
Transforming growth factor-beta regulates the expression of fibronectin and tenascin in BEAS 2B human bronchial epithelial cells.
Linnala A, Kinnula V, Laitinen LA, Lehto VP, Virtanen I
American journal of respiratory cell and molecular biology 1995 Nov;13(5):578-85
American journal of respiratory cell and molecular biology 1995 Nov;13(5):578-85
Increased release of tenascin in tear fluid after photorefractive keratectomy.
Vesaluoma M, Ylätupa S, Mertaniemi P, Tervo K, Partanen P, Tervo T
Graefe's archive for clinical and experimental ophthalmology = Albrecht von Graefes Archiv fur klinische und experimentelle Ophthalmologie 1995 Aug;233(8):479-83
Graefe's archive for clinical and experimental ophthalmology = Albrecht von Graefes Archiv fur klinische und experimentelle Ophthalmologie 1995 Aug;233(8):479-83
Tenascin in normal, reactive, hyperplastic, and neoplastic tissues: biologic and pathologic implications.
Koukoulis GK, Gould VE, Bhattacharyya A, Gould JE, Howeedy AA, Virtanen I
Human pathology 1991 Jul;22(7):636-43
Human pathology 1991 Jul;22(7):636-43
Differential distribution of tenascin in the normal, hyperplastic, and neoplastic breast.
Howeedy AA, Virtanen I, Laitinen L, Gould NS, Koukoulis GK, Gould VE
Laboratory investigation; a journal of technical methods and pathology 1990 Dec;63(6):798-806
Laboratory investigation; a journal of technical methods and pathology 1990 Dec;63(6):798-806
No comments: Submit comment
Supportive validation
- Submitted by
- antibodies-online (provider)
- Main image

- Experimental details
- Image(s): Immunohistochemistry