Antibody data
- Antibody Data
- Antigen structure
- References [1]
- Comments [0]
- Validations
- Western blot [1]
- Immunohistochemistry [1]
Submit
Validation data
Reference
Comment
Report error
- Product number
- TA321693 - Provider product page

- Provider
- OriGene
- Product name
- Anti-S1PR3 Rabbit Polyclonal Antibody
- Antibody type
- Polyclonal
- Description
- Anti-S1PR3 Rabbit Polyclonal Antibody
- Host
- Rabbit
- Conjugate
- Unconjugated
- Epitope
- S1PR3
- Isotype
- IgG
- Antibody clone number
- NULL
- Vial size
- 100 µl
- Concentration
- 1.4mg/ml
Submitted references Impact of Age and Polytherapy on Fingolimod Induced Bradycardia: a Preclinical Study.
Ritter C, Svačina MK, Bobylev I, Joshi A, Schneider T, Lehmann HC
Journal of neuroimmune pharmacology : the official journal of the Society on NeuroImmune Pharmacology 2017 Mar;12(1):204-209
Journal of neuroimmune pharmacology : the official journal of the Society on NeuroImmune Pharmacology 2017 Mar;12(1):204-209
No comments: Submit comment
Supportive validation
- Submitted by
- OriGene (provider)
- Main image

- Experimental details
- Predicted band size: 42 kDa. Positive control: Human fetal brain tissue lysate. Recommended dilution: 1/1000-5000. (Gel: 10%SDS-PAGE Lysate: 40 ug per lane Primary antibody: 1/700 dilution Secondary antibody: Goat anti Rabbit IgG - H&L (HRP) at 1/10000 dilution Exposure time: 20 seconds)
- Validation comment
- WB
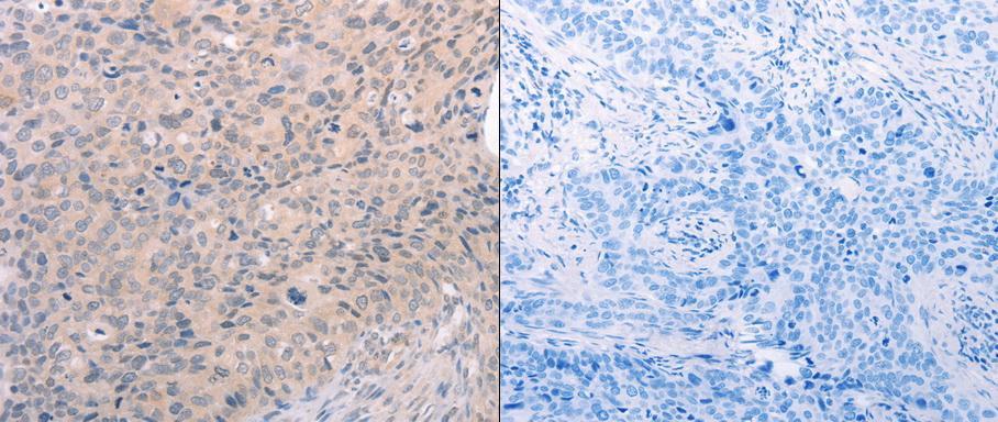
Supportive validation
- Submitted by
- OriGene (provider)
- Main image

- Experimental details
- Predicted cell location: Cytoplasm. Positive control: Human cervical cancer tissue. Recommended dilution: 1/25-100 The image on the left is immunohistochemistry of paraffin-embedded human cervical cancer tissue using S1PR3 antibody at dilution 1/30, on the right is treated with the synthetic peptide. (Original magnification:x200)
- Validation comment
- IHC