Antibody data
- Antibody Data
- Antigen structure
- References [0]
- Comments [0]
- Validations
- Western blot [5]
- Immunocytochemistry [3]
- Immunohistochemistry [2]
Submit
Validation data
Reference
Comment
Report error
- Product number
- AM08432PU-S - Provider product page

- Provider
- Acris Antibodies GmbH
- Proper citation
- Acris Antibodies GmbH Cat#AM08432PU-S, RRID:AB_2035095
- Product name
- anti AKT1 / PKB pSer473
- Antibody type
- Monoclonal
- Antigen
- Synthetic peptide corresponding to residues surrounding Ser473 of Human AKT1 protein, followed by hybridoma development.
- Reactivity
- Human, Mouse, Rat
- Host
- Mouse
- Isotype
- IgG
- Antibody clone number
- 17F6.B11
- Vial size
- 25 µl
- Concentration
- 1.0 mg/ml (by UV absorbance at 280 nm)
No comments: Submit comment
Supportive validation
- Submitted by
- Acris Antibodies GmbH (provider)
- Main image

- Experimental details
- Western blot using Anti-AKT pS473 monoclonal antibody shows detection of phosphorylated AKT (indicated by arrowhead at ~56 kDa) on PDGF stimulated NIH/3T3 cell lysates (lane 2). No reactivity is seen for non-phosphorylated AKT in untreated cells (lane 1). Each lane contained approximately 10 µg of lysate. All samples were loaded on to a 4-20% gradient gel for separation. After electrophoresis, the gel was blocked with 5% BLOTTO for 90 min at RT. The membrane was probed with the primary antibody at a 1:10,000 dilution in TBS with 0.05% Tween-20 with 1% BSA, for 1 h at 4 ¡ C. For detection HRP conjugated Gt-a-Mouse IgG was used at a 1:20,000 dilution for 1 h at 4 ¡ C with FemtoMax(TM) enhanced chemiluminescent reagent. Images were captured using 2X2 binning for 10-20 sec using a BioSpectrum Imaging System (UVP Ltd.)
- Submitted by
- Acris Antibodies GmbH (provider)
- Main image

- Experimental details
- Western blot using Anti-AKT pS473 monoclonal antibody shows detection of phosphorylated AKT (indicated by arrowhead at ~56 kDa) on PDGF stimulated NIH/3T3 cell lysates (lane 2). No reactivity is seen for non-phosphorylated AKT in untreated cells (lane 1). Each lane contained approximately 10 μg of lysate. All samples were loaded on to a 4-20% gradient gel for separation. After electrophoresis, the gel was blocked with 5% BLOTTO in TBS for 90 min at RT. The membrane was probed with the primary antibody at a 1/10,000 dilution in TBS with 0.05% Tween-20 with 1% BSA, for 1 h at 4°C. For detection HRP conjugated Goat anti-Mouse IgG was used at a 1/20,000 dilution for 1 h at 4°C with FemtoMax(TM) enhanced chemiluminescent reagent. Images were captured using 2X2 binning for 10-20 sec using a BioSpectrum Imaging System (UVP Ltd.)
- Submitted by
- Acris Antibodies GmbH (provider)
- Main image

- Experimental details
- Western Blot of Mouse Anti-AKTpS473 antibody. Lane 1: A431 cells. Lane 2: A431 cells stimulated for 15 min with EGF. Load: 35 µg per lane. Primary antibody: AKTpS473 Antibody AM084432PU-N at 1/400 for overnight at 4°C. Secondary antibody: DyLightâ¢649 Conjugated Anti-AKT pS473 Monoclonal Antibody  at 1/10,000 for 45 min at RT. Block: Blocking Buffer for Fluorescent Western Blotting  overnight at 4°C. Predicted/Observed size: 56kDa. Other band(s): none.
- Submitted by
- Acris Antibodies GmbH (provider)
- Main image

- Experimental details
- Western blot: Anti-Akt pS473 antibody by fluorescent western blot shows simultaneous detection of unphosphorylated and phosphorylated Akt1 present in serum starved and PDGF stimulated NIH/3T3 whole cell lysates. Lane 1: unstimulated NIH/3T3 lysates contain inactive unphosphorylated Akt1, green band. Lane 2: PDGF stimulated NIH/3T3 lysate contains both inactive (green band) and activated phosphorylated Akt1 (red band). Both lanes were probed with Rabbit anti-Akt (pan) and Mouse anti-Akt pS473 specific antibodies. This was followed by detection with DyLight⢠549 conjugated anti-rabbit IgG (green) and DyLight⢠649 conjugated anti-Mouse IgG (red) secondary antibodies.
- Submitted by
- Acris Antibodies GmbH (provider)
- Main image

- Experimental details
- Western Blot of Mouse Anti-Akt pSer473 antibody. A) Lane 1: PDGF stimulated NIH 3T3 cells 10 µl, Lane 2: NIH 3T3 cells 10 µl, Lane 3: Hela whole cell lysate 10 µl (weak signal). B) Lane 4: GST negative control protein 100 ng. Lane 5: GST negative control protein 25 ng. Lane 6: AKT 1 recombinant protein 100 ng. Lane 7: AKT1 recombinant protein 25 ng Block: 5% BSA overnight at 4°C. Primary antibody: Monoclonal anti AKT antibody AM08432PU, Lot Nr. 27843 used at 1/1000 for overnight at 4°C. Secondary antibody: HRP Conjugated goat anti Mouse lot 20121 1:25K for 45 min at RT. Detection : TMBM-100 for 20 minutes, rinsed with deionized water, dried and scanned on conventional flatbed scanner.
Supportive validation
- Submitted by
- Acris Antibodies GmbH (provider)
- Main image

- Experimental details
- Immunofluorescence: Anti-AKT pS473 antibody used in confocal microscopy shows detection of changes in AKT pS473 localization in EGF treated A431 cells. A Leica TCS SP5 was used to detect tubulin (cyan) stained with DyLight 488⢠Goat anti-Rabbit IgG, and AKT (red) stained with MAb anti-AKT pS473 and detected with atto-647N anti-Mouse IgG (Active Motif). The images show a weak diffuse staining of AKT in serum starved resting cells ("No treatment"), and a marked activation and migration of AKT to the periphery of the cells upon stimulation with the mitogen EGF ("+ EGF 15 min").
- Submitted by
- Acris Antibodies GmbH (provider)
- Main image

- Experimental details
- STED Nanoscopy: Anti-AKTpS473 antibody was used in STED nanoscopy to evaluate AKT activation and migration. A431 cells were serum starved. Epidermal growth factor (EGF) was used to stimulate AKT activation. Panel A shows STED data (AKT pSer473, red channel) collected simultaneously with confocal signal (a-Tubulin, green channel) on serum starved but unstimulated cells. Panel B shows STED for the A431 cells stimulated with EGF for 15 min. Serum starved cells (A) show highly organized tubulin, and very little activated AKT (mostly at the cell periphery). Upon stimulation of cells with EGF, a rapid activation of AKT is observed (Panel B) along with a coincident change in the tubulin organization (yellow signal), as well as an extensive cell shape-change (cell membrane folding) and accumulation of AKT pSer473 at the cell periphery. A massive increase in AKT-pS473 activation, as measured by intensity signal, peaked at 15 minutes and was associated with depolymerized Tubulin.
- Submitted by
- Acris Antibodies GmbH (provider)
- Main image

- Experimental details
- High resolution STED Immunofluorescence nanoscopy: Anti-AKT pS473 Monoclonal Antibody AM084432PU-N was used at 10 μg/mL for 1 h at RT to stain A431 cells after serum deprivation for 12 h. Cells were fixed in 4% paraformaldehyde for 5 min and after washes blocked with 10% NGS/0.2% Triton X-100 for 30 min. Phosphorylated AKT (red) is observed to be localized in the cytoplasm and also organized at the periphery of the cell. Sequential staining at 1.4 μg/ml for 1 h at RT with rabbit anti-α tubulin (cyan) is also shown. The merge images (A) and at high magnification (B) show phosphorylated AKT colocalized with the distal microtubules. High magnification images (D, E and F) show phosphorylated AKT appears to be colocalized to microtubules. Images were taken with a 100x objective on a Leica TCS STED (Stimulated Emission and Depletion), Leica Microsystems, Inc. Exton, PA, USA. Atto 647N anti-Mouse IgG, and DyLight(TM)488 anti-Rabbit IgG were used at 1.0 μg/ml for 1h at RT for indirect detection. Personal Communication, Myriam Gastard, Leica Microsystems Inc, Exton, PA (USA).
Supportive validation
- Submitted by
- Acris Antibodies GmbH (provider)
- Main image

- Experimental details
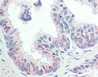
- Immunohistochemistry using Anti-AKT pS473 monoclonal antibody shows detection of phosphory-lated AKT pS473 in human prostate tissue. The antibody was used at 20 µg/mL. The staining is much stronger than the weak basal level of phosphorylation in normal prostate tissue. Tissue was formalin fixed and paraffin embedded. No pre-treatment of sample was required. Signal was developed using Dako's Techmate streptavidin-biotin reagents.
- Submitted by
- Acris Antibodies GmbH (provider)
- Main image

- Experimental details
- Immunohistochemistry using Anti-AKT pS473 monoclonal antibody Cat.-No AM08432PU-N shows detection of phosphorylated AKT pS473 in human prostate tissue. The antibody was used at 20 μg/ml. The staining is much stronger than the weak basal level of phosphorylation in normal prostate tissue. Tissue was formalin fixed and paraffin embedded. No pre-treatment of sample was required. Signal was developed using streptavidin-biotin reagents. Personal communication, Glenna Burmer, Lifespan Biosciences, Seattle, WA.