Antibody data
- Antibody Data
- Antigen structure
- References [0]
- Comments [0]
- Validations
- Western blot [2]
- Immunocytochemistry [2]
- Immunohistochemistry [2]
- Flow cytometry [1]
Submit
Validation data
Reference
Comment
Report error
- Product number
- CF501213 - Provider product page

- Provider
- Invitrogen Antibodies
- Product name
- H6PD Monoclonal Antibody (OTI2C12), TrueMAB™
- Antibody type
- Monoclonal
- Antigen
- Recombinant full-length protein
- Reactivity
- Human
- Host
- Mouse
- Isotype
- IgG
- Antibody clone number
- OTI2C12
- Vial size
- 100 µg
- Concentration
- 1 mg/mL
- Storage
- -20° C, Avoid Freeze/Thaw Cycles
No comments: Submit comment
Supportive validation
- Submitted by
- Invitrogen Antibodies (provider)
- Main image

- Experimental details
- HEK293T cells were transfected with the pCMV6-ENTRY control (Left lane) or pCMV6-ENTRY H6PD (RC209890, Right lane) cDNA for 48 hrs and lysed. Equivalent amounts of cell lysates (5 µg per lane) were separated by SDS-PAGE and immunoblotted with anti-H6PD. Positive lysates LY401369 (100 µg) and LC401369 (20 µg) can be purchased separately from OriGene.
- Submitted by
- Invitrogen Antibodies (provider)
- Main image

- Experimental details
- HEK293T cells were transfected with the pCMV6-ENTRY control (Left lane) or pCMV6-ENTRY H6PD (RC209890, Right lane) cDNA for 48 hrs and lysed. Equivalent amounts of cell lysates (5 µg per lane) were separated by SDS-PAGE and immunoblotted with anti-H6PD. Positive lysates LY401369 (100 µg) and LC401369 (20 µg) can be purchased separately from OriGene.
Supportive validation
- Submitted by
- Invitrogen Antibodies (provider)
- Main image

- Experimental details
- Anti-H6PD mouse monoclonal antibody (TA501213) Immunofluorescent staining of COS7 cells transiently transfected by pCMV6-ENTRY H6PD(RC209890).
- Submitted by
- Invitrogen Antibodies (provider)
- Main image

- Experimental details
- Anti-H6PD mouse monoclonal antibody (TA501213) Immunofluorescent staining of COS7 cells transiently transfected by pCMV6-ENTRY H6PD(RC209890).
Supportive validation
- Submitted by
- Invitrogen Antibodies (provider)
- Main image

- Experimental details
- Immunohistochemical staining of paraffin-embedded pancreas tissue within the normal limits using anti-H6PD mouse monoclonal antibody. (Heat-induced epitope retrieval by 10mM citric buffer, pH6.0, 100°C for 10min, TA501213, Dilution 1:50)
- Submitted by
- Invitrogen Antibodies (provider)
- Main image

- Experimental details
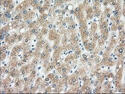
- Immunohistochemical staining of paraffin-embedded liver tissue within the normal limits using anti-H6PD mouse monoclonal antibody. (Heat-induced epitope retrieval by 10mM citric buffer, pH6.0, 100°C for 10min, TA501213, Dilution 1:50)
Supportive validation
- Submitted by
- Invitrogen Antibodies (provider)
- Main image

- Experimental details
- HEK293T cells transfected with either pCMV6-ENTRY H6PD(RC209890)(Red) or empty vector control plasmid (Blue) were immunostained with anti-H6PD mouse monoclonal(TA501213), and then analyzed by flow cytometry.