Antibody data
- Antibody Data
- Antigen structure
- References [0]
- Comments [0]
- Validations
- Immunohistochemistry [1]
Submit
Validation data
Reference
Comment
Report error
- Product number
- TA322469 - Provider product page

- Provider
- OriGene
- Product name
- Anti-UTS2 Rabbit Polyclonal Antibody
- Antibody type
- Polyclonal
- Description
- Anti-UTS2 Rabbit Polyclonal Antibody
- Host
- Rabbit
- Conjugate
- Unconjugated
- Epitope
- UTS2
- Isotype
- IgG
- Antibody clone number
- NULL
- Vial size
- 100 µl
- Concentration
- 0.5mg/ml
No comments: Submit comment
Supportive validation
- Submitted by
- OriGene (provider)
- Main image

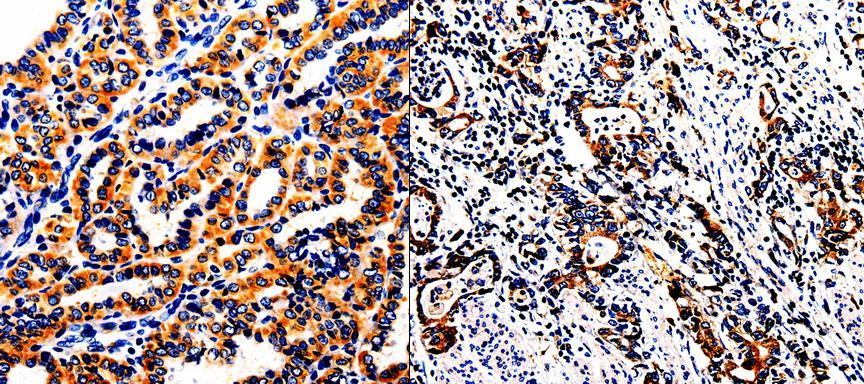
- Experimental details
- Predicted cell location: Cytoplasm. Positive control: Human thyroid and stomach cancer tissue.Recommended dilution: 1/50-200 The image on the left is immunohistochemistry of paraffin-embedded Human thyroid cancer tissue using UTS2 antibody at dilution 1/100, on the right is immunohistochemistry of paraffin-embedded Human stomach cancer tissue using UTS2 antibody at dilution 1/100. (Original magnification: x200)
- Validation comment
- IHC