Antibody data
- Antibody Data
- Antigen structure
- References [0]
- Comments [0]
- Validations
- Western blot [1]
- Immunohistochemistry [2]
Submit
Validation data
Reference
Comment
Report error
- Product number
- F54394 - Provider product page

- Provider
- NSJ Bioreagents
- Product name
- UBE4B Antibody
- Antibody type
- Polyclonal
- Description
- This highly specific UBE4B antibody is suitable for use in Western blot/Immunohistochemistry applications with human and mouse samples.
- Reactivity
- Human, Mouse
- Host
- Rabbit
- Conjugate
- Unconjugated
- Vial size
- 0.08 ml, 0.4 ml
- Concentration
- In 1X PBS, pH 7.4, with 0.09% sodium azide
- Storage
- Aliquot the UBE4B antibody and store frozen at -20oC or colder. Avoid repeated freeze-thaw cycles.
No comments: Submit comment
Supportive validation
- Submitted by
- NSJ Bioreagents (provider)
- Main image

- Experimental details
- Western blot testing of human 1) K562, 2) Raji, 3) HeLa and 4) NIH 3T3 lysate with UBE4B antibody. Predicted molecular weight ~146 kDa.
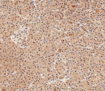
Supportive validation
- Submitted by
- NSJ Bioreagents (provider)
- Main image

- Experimental details
- IHC testing of FFPE human pancreas tissue with UBE4B antibody. HIER: steam section in pH6 citrate buffer for 20 min and allow to cool prior to staining.
- Submitted by
- NSJ Bioreagents (provider)
- Main image

- Experimental details
- IHC testing of FFPE human testis tissue with UBE4B antibody. HIER: steam section in pH6 citrate buffer for 20 min and allow to cool prior to staining.