Antibody data
- Antibody Data
- Antigen structure
- References [0]
- Comments [0]
- Validations
- Western blot [2]
- Immunohistochemistry [8]
Submit
Validation data
Reference
Comment
Report error
- Product number
- NBP2-01170 - Provider product page

- Provider
- Novus Biologicals
- Product name
- Mouse Monoclonal FDFT1 Antibody
- Antibody type
- Monoclonal
- Description
- Affinity purified.
- Reactivity
- Human, Simian
- Host
- Mouse
- Isotype
- IgG
- Vial size
- 0.1 ml
- Concentration
- 0.93 mg/ml
- Storage
- Store at -20C. Avoid freeze-thaw cycles.
No comments: Submit comment
Supportive validation
- Submitted by
- Novus Biologicals (provider)
- Main image

- Experimental details
- Western Blot: FDFT1 Antibody (2F10) [NBP2-01170] - HEK293T cells were transfected with the pCMV6-ENTRY control (Left lane) or pCMV6-ENTRY FDFT1 (Right lane) cDNA for 48 hrs and lysed. Equivalent amounts of cell lysates (5 ug per lane) were separated by SDS-PAGE and immunoblotted with anti-FDFT1.
- Submitted by
- Novus Biologicals (provider)
- Main image

- Experimental details
- Western Blot: FDFT1 Antibody (2F10) [NBP2-01170] Analysis of extracts (35ug) from 9 different cell lines by using anti-FDFT1 monoclonal antibody.
Supportive validation
- Submitted by
- Novus Biologicals (provider)
- Main image

- Experimental details
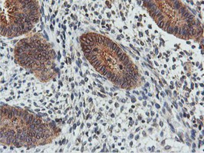
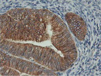
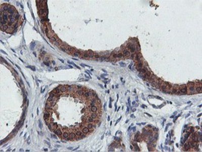
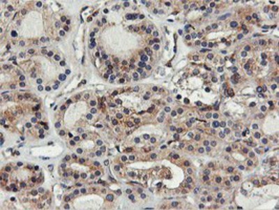
- Immunohistochemistry-Paraffin: FDFT1 Antibody (2F10) [NBP2-01170] - Staining of paraffin-embedded Adenocarcinoma of Human endometrium tissue using anti-FDFT1 mouse monoclonal antibody.
- Submitted by
- Novus Biologicals (provider)
- Main image

- Experimental details
- Immunohistochemistry-Paraffin: FDFT1 Antibody (2F10) [NBP2-01170] - Staining of paraffin-embedded Carcinoma of Human thyroid tissue using anti-FDFT1 mouse monoclonal antibody.
- Submitted by
- Novus Biologicals (provider)
- Main image

- Experimental details
- Immunohistochemistry-Paraffin: FDFT1 Antibody (2F10) [NBP2-01170] - Staining of paraffin-embedded Human breast tissue using anti-FDFT1 mouse monoclonal antibody.
- Submitted by
- Novus Biologicals (provider)
- Main image

- Experimental details
- Immunohistochemistry-Paraffin: FDFT1 Antibody (2F10) [NBP2-01170] - Staining of paraffin-embedded Human endometrium tissue using anti-FDFT1 mouse monoclonal antibody.
- Submitted by
- Novus Biologicals (provider)
- Main image

- Experimental details
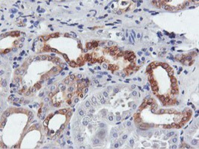
- Immunohistochemistry-Paraffin: FDFT1 Antibody (2F10) [NBP2-01170] - Staining of paraffin-embedded Human Kidney tissue using anti-FDFT1 mouse monoclonal antibody.
- Submitted by
- Novus Biologicals (provider)
- Main image

- Experimental details
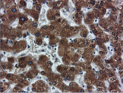
- Immunohistochemistry-Paraffin: FDFT1 Antibody (2F10) [NBP2-01170] - Staining of paraffin-embedded Human liver tissue using anti-FDFT1 mouse monoclonal antibody.
- Submitted by
- Novus Biologicals (provider)
- Main image

- Experimental details
- Immunohistochemistry-Paraffin: FDFT1 Antibody (2F10) [NBP2-01170] - Staining of paraffin-embedded Human lymphoma tissue using anti-FDFT1 mouse monoclonal antibody.
- Submitted by
- Novus Biologicals (provider)
- Main image

- Experimental details
- Immunohistochemistry-Paraffin: FDFT1 Antibody (2F10) [NBP2-01170] - Staining of paraffin-embedded Human prostate tissue using anti-FDFT1 mouse monoclonal antibody.