PA5-120663
antibody from Invitrogen Antibodies
Targeting: RAD21
hHR21, KIAA0078, SCC1
Antibody data
- Antibody Data
- Antigen structure
- References [0]
- Comments [0]
- Validations
- Immunocytochemistry [1]
- Immunoprecipitation [2]
- Immunohistochemistry [3]
- Chromatin Immunoprecipitation [3]
Submit
Validation data
Reference
Comment
Report error
- Product number
- PA5-120663 - Provider product page

- Provider
- Invitrogen Antibodies
- Product name
- RAD21 Polyclonal Antibody
- Antibody type
- Polyclonal
- Antigen
- Recombinant full-length protein
- Description
- Positive test controls include: Jurkat, Mouse thymus, C6. Immunogen sequence: VDPVEPMPTM TDQTTLVPNE EEAFALEPID ITVKETKAKR KRKLIVDSVK ELDSKTIRAQ LSDYSDIVTT LDLAPPTKKL MMWKETGGVE KLFSLPAQPL WNNRLLKLFT RCLTPLVPED LRKRRKGGEA DNLDEFLKEF
- Reactivity
- Human, Mouse, Rat
- Host
- Rabbit
- Isotype
- IgG
- Vial size
- 100 μL
- Concentration
- 1.96 mg/mL
- Storage
- -20°C, Avoid Freeze/Thaw Cycles
No comments: Submit comment
Supportive validation
- Submitted by
- Invitrogen Antibodies (provider)
- Main image

- Experimental details
- Immunofluorescence analysis of RAD21 in U2OS cells. Samples were incubated with RAD21 Polyclonal antibody (Product # PA5-120663) using a dilution of 1:100 (40x lens). Blue: DAPI for nuclear staining.
Supportive validation
- Submitted by
- Invitrogen Antibodies (provider)
- Main image

- Experimental details
- Immunoprecipitation of RAD21 in 300 μg extracts of Jurkat cells. Samples were precipitated with 3 μg RAD21 Polyclonal antibody (Product # PA5-120663). Western blot was performed from the immunoprecipitate using RAD21 Polyclonal antibody (Product # PA5-120663) at a dilution of 1:1,000.
- Submitted by
- Invitrogen Antibodies (provider)
- Main image

- Experimental details
- Immunoprecipitation of RAD21 in 300 μg extracts of Jurkat cells. Samples were precipitated with 3 μg RAD21 Polyclonal antibody (Product # PA5-120663). Western blot was performed from the immunoprecipitate using RAD21 Polyclonal antibody (Product # PA5-120663) at a dilution of 1:1,000.
Supportive validation
- Submitted by
- Invitrogen Antibodies (provider)
- Main image

- Experimental details
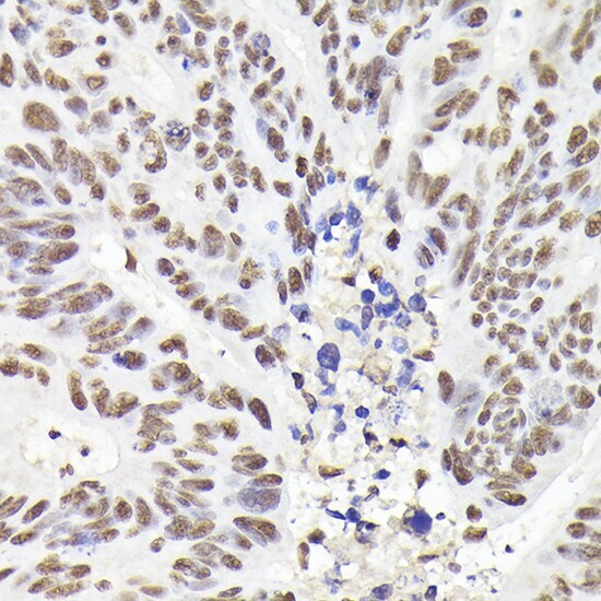
- Immunohistochemistry analysis of RAD21 in paraffin-embedded human colon carcinoma. Samples were incubated with RAD21 Polyclonal antibody (Product # PA5-120663) using a dilution of 1:200 (40x lens). Perform high pressure antigen retrieval with 10 mM citrate buffer pH 6.0 before commencing with IHC staining protocol.
- Submitted by
- Invitrogen Antibodies (provider)
- Main image

- Experimental details
- Immunohistochemistry analysis of RAD21 in paraffin-embedded mouse stomach. Samples were incubated with RAD21 Polyclonal antibody (Product # PA5-120663) using a dilution of 1:200 (40x lens). Perform high pressure antigen retrieval with 10 mM citrate buffer pH 6.0 before commencing with IHC staining protocol.
- Submitted by
- Invitrogen Antibodies (provider)
- Main image

- Experimental details
- Immunohistochemistry analysis of RAD21 in paraffin-embedded rat stomach. Samples were incubated with RAD21 Polyclonal antibody (Product # PA5-120663) using a dilution of 1:200 (40x lens). Perform high pressure antigen retrieval with 10 mM citrate buffer pH 6.0 before commencing with IHC staining protocol.
Supportive validation
- Submitted by
- Invitrogen Antibodies (provider)
- Main image

- Experimental details
- ChIP analysis of RAD21 in extracts of A-549 cells using a RAD21 Polyclonal antibody (Product # PA5-120663) and rabbit amount of immunoprecipitated DNA was checked by quantitative PCR. A histogram was constructed by the ratios of the immunoprecipitated DNA to the input.
- Submitted by
- Invitrogen Antibodies (provider)
- Main image

- Experimental details
- ChIP analysis of RAD21 in extracts of A-549 cells. Samples were incubated with RAD21 Polyclonal antibody (Product # PA5-120663) and rabbit IgG. The amount of immunoprecipitated DNA was checked by quantitative PCR. Histogram was constructed by the ratios of the immunoprecipitated DNA to the input.
- Submitted by
- Invitrogen Antibodies (provider)
- Main image

- Experimental details
- ChIP analysis of RAD21 in extracts of A-549 cells. Samples were incubated with RAD21 Polyclonal antibody (Product # PA5-120663) and rabbit IgG. The amount of immunoprecipitated DNA was checked by quantitative PCR. Histogram was constructed by the ratios of the immunoprecipitated DNA to the input.