Antibody data
- Antibody Data
- Antigen structure
- References [0]
- Comments [0]
- Validations
- Immunohistochemistry [1]
- Other assay [1]
Submit
Validation data
Reference
Comment
Report error
- Product number
- A301-235A-T - Provider product page

- Provider
- Invitrogen Antibodies
- Product name
- GTF3C2/TFIIIC110 Polyclonal Antibody
- Antibody type
- Polyclonal
- Antigen
- Other
- Reactivity
- Human
- Host
- Rabbit
- Isotype
- IgG
- Vial size
- 10 µL
- Concentration
- 1 mg/mL
- Storage
- 4° C
No comments: Submit comment
Supportive validation
- Submitted by
- Invitrogen Antibodies (provider)
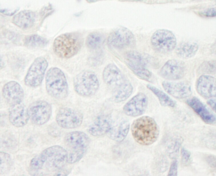
- Main image

- Experimental details
- Detection of human GTF3C2/TFIIIC110 by immunohistochemistry. Sample: FFPE section of human breast carcinoma. Antibody: Affinity purified rabbit anti- GTF3C2/TFIIIC110 (Cat. No. A301-235A Lot1) used at a dilution of 1:1,000 (1µg/ml). Detection: DAB.
Supportive validation
- Submitted by
- Invitrogen Antibodies (provider)
- Main image

- Experimental details
- Detection of human GTF3C2/TFIIIC110 by western blot of immunoprecipitates. Samples: Whole cell lysate (1 mg for IP, 20% of IP loaded) from HeLa cells. Antibodies: Affinity purified rabbit anti-GTF3C2/TFIIIC110 antibody A301-235A used for IP at 3 µg/mg lysate. GTF3C2/TFIIIC110 was also immunoprecipitated by rabbit anti-GTF3C2/TFIIIC110 antibody A301-236A, which recognizes a downstream epitope. For blotting immunoprecipitated GTF3C2/TFIIIC110, A301-236A was used at 1 µg/ml. Detection: Chemiluminescence with an exposure time of 30 seconds.