Antibody data
- Antibody Data
- Antigen structure
- References [0]
- Comments [0]
- Validations
- Immunohistochemistry [5]
Submit
Validation data
Reference
Comment
Report error
- Product number
- PA5-65052 - Provider product page

- Provider
- Invitrogen Antibodies
- Product name
- LALBA Polyclonal Antibody
- Antibody type
- Polyclonal
- Antigen
- Recombinant protein fragment
- Description
- Immunogen sequence: KCELSQLLKDI DGYGGIALPE LICTMFHTSG YDTQAIVENN ESTEYGLFQI SNKLWCKSS Highest antigen sequence identity to the following orthologs - mouse 68%, rat 68%.
- Reactivity
- Human
- Host
- Rabbit
- Isotype
- IgG
- Vial size
- 100 μL
- Concentration
- 0.08 mg/mL
- Storage
- Store at 4°C short term. For long term storage, store at -20°C, avoiding freeze/thaw cycles.
No comments: Submit comment
Supportive validation
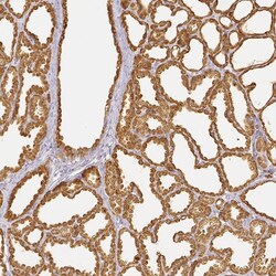
- Submitted by
- Invitrogen Antibodies (provider)
- Main image

- Experimental details
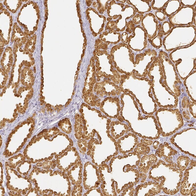
- Immunohistochemical analysis of LALBA in human lactating breast using LALBA Polyclonal Antibody (Product # PA5-65052) shows moderate cytoplasmic positivity in glandular cells.
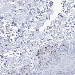
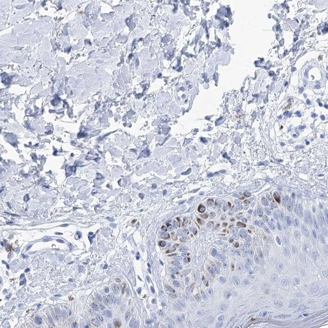
- Submitted by
- Invitrogen Antibodies (provider)
- Main image

- Experimental details
- Immunohistochemical staining of LALBA in human skin shows moderate cytoplasmic positivity in keratinocytes. Samples were probed using a LALBA Polyclonal Antibody (Product # PA5-65052).
- Submitted by
- Invitrogen Antibodies (provider)
- Main image

- Experimental details
- Immunohistochemical analysis of LALBA in human cerebral cortex using LALBA Polyclonal Antibody (Product # PA5-65052) shows no positivity in neurons as expected.
- Submitted by
- Invitrogen Antibodies (provider)
- Main image

- Experimental details
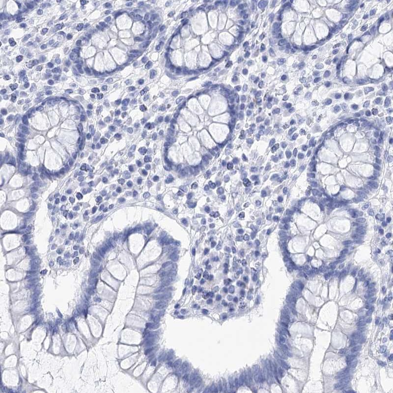
- Immunohistochemical analysis of LALBA in human colon using LALBA Polyclonal Antibody (Product # PA5-65052) shows no positivity in glandular cells as expected.
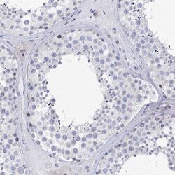
- Submitted by
- Invitrogen Antibodies (provider)
- Main image

- Experimental details
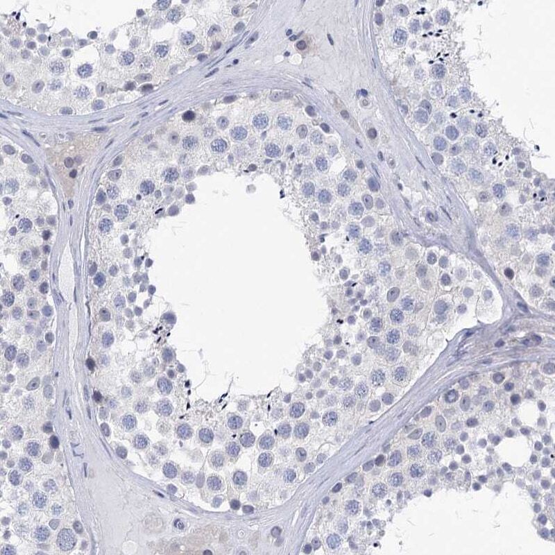
- Immunohistochemical analysis of LALBA in human testis using LALBA Polyclonal Antibody (Product # PA5-65052) shows no positivity in cells in seminiferous ducts as expected.