Antibody data
- Antibody Data
- Antigen structure
- References [0]
- Comments [0]
- Validations
- Immunohistochemistry [1]
Submit
Validation data
Reference
Comment
Report error
- Product number
- M04858 - Provider product page

- Provider
- Boster Biological Technology
- Product name
- Anti-alpha Lactalbumin LALBA Monoclonal Antibody
- Antibody type
- Monoclonal
- Antigen
- Synthetic peptide
- Description
- Anti-alpha Lactalbumin LALBA Monoclonal Antibody validated for WB. Reactive to Human.
- Reactivity
- Human
- Host
- Mouse
- Isotype
- IgG
- Antibody clone number
- 9000000000
- Vial size
- 100ul
- Concentration
- 1 mg/ml
- Storage
- At -20°C for one year. At 4°C for one month. It can also be aliquoted and stored frozen at -20°C for a longer time. Avoid repeated freezing and thawing.
No comments: Submit comment
Supportive validation
- Submitted by
- Boster Biological Technology (provider)
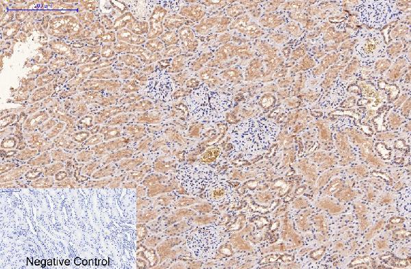
- Main image

- Experimental details
- Immunohistochemistry validation of LALBA using Anti-alpha Lactalbumin LALBA Monoclonal Antibody (M04858). Immunohistochemical analysis of human-kidney tissue. Anti-alpha Lactalbumin at 1:200 (4°C
- Additional image
