Antibody data
- Antibody Data
- Antigen structure
- References [0]
- Comments [0]
- Validations
- Immunohistochemistry [1]
- Flow cytometry [4]
Submit
Validation data
Reference
Comment
Report error
- Product number
- MA5-44649 - Provider product page

- Provider
- Invitrogen Antibodies
- Product name
- UPK3A Recombinant Rabbit Monoclonal Antibody (PD00-09)
- Antibody type
- Monoclonal
- Antigen
- Synthetic peptide
- Reactivity
- Human
- Host
- Rabbit
- Isotype
- IgG
- Antibody clone number
- PD00-09
- Vial size
- 100 μL
- Concentration
- 1 mg/mL
- Storage
- Store at 4°C short term. For long term storage, store at -20°C, avoiding freeze/thaw cycles.
No comments: Submit comment
Supportive validation
- Submitted by
- Invitrogen Antibodies (provider)
- Main image

- Experimental details
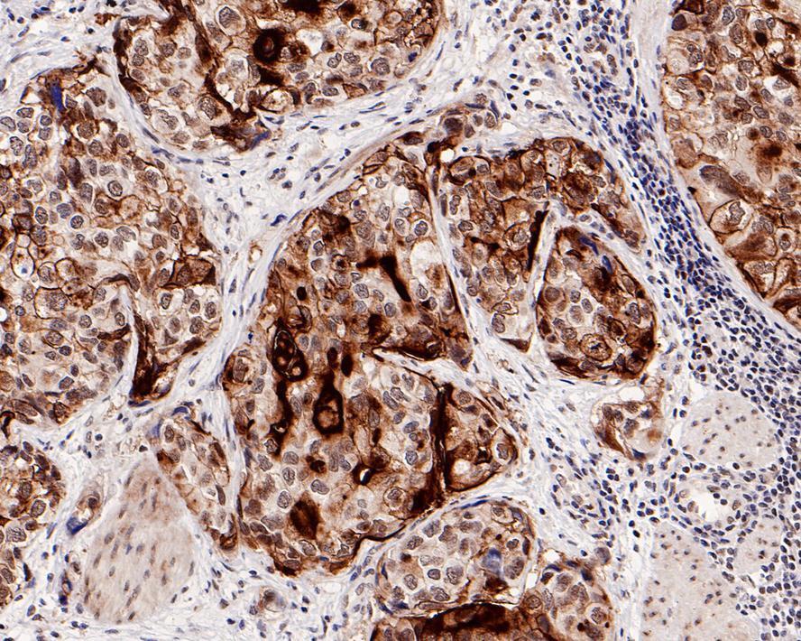
- Immunohistochemistry analysis of Uroplakin III in paraffin-embedded human bladder carcinoma tissue. The section was pre-treated using heat mediated antigen retrieval with Tris-EDTA buffer (pH 9.0) for 20 minutes. The tissues were blocked in 1% BSA for 20 minutes at room temperature, washed with ddH2O and PBS, and then probed with Uroplakin III Monoclonal antibody (Product # MA5-44649) using a dilution of 1:5,000 for 1 hour at room temperature. The detection was performed using an HRP conjugated compact polymer system. DAB was used as the chromogen. Tissues were counterstained with hematoxylin and mounted with DPX.
Supportive validation
- Submitted by
- Invitrogen Antibodies (provider)
- Main image

- Experimental details
- Flow cytometry of Uroplakin III in 293 cells. Cells were fixed and permeabilized then stained with Uroplakin III Monoclonal antibody (Product # MA5-44649) using a dilution of 1 µg/mL (red) at 4℃ for an hour followed by iFluor™ 488 conjugate-Goat anti-Rabbit IgG secondary antibody at a dilution of 1:1,000 for 30 minutes at 4℃. Rabbit IgG Isotype Control (green). Unlabeled sample was used as a control (cells without incubation with primary antibody; black).
- Submitted by
- Invitrogen Antibodies (provider)
- Main image

- Experimental details
- Flow cytometry of Uroplakin III in HeLa cells. Cells were fixed and permeabilized then stained with Uroplakin III Monoclonal antibody (Product # MA5-44649) using a dilution of 1 µg/mL (red) at 4℃ for an hour followed by iFluor™ 488 conjugate-Goat anti-Rabbit IgG secondary antibody at a dilution of 1:1,000 for 30 minutes at 4℃. Rabbit IgG Isotype Control (green). Unlabeled sample was used as a control (cells without incubation with primary antibody; black).
- Submitted by
- Invitrogen Antibodies (provider)
- Main image

- Experimental details
- Flow cytometry of Uroplakin III in 293 cells. Cells were fixed and permeabilized then stained with Uroplakin III Monoclonal antibody (Product # MA5-44649) using a dilution of 1 µg/mL (red) at 4℃ for an hour followed by iFluor™ 488 conjugate-Goat anti-Rabbit IgG secondary antibody at a dilution of 1:1,000 for 30 minutes at 4℃. Rabbit IgG Isotype Control (green). Unlabeled sample was used as a control (cells without incubation with primary antibody; black).
- Submitted by
- Invitrogen Antibodies (provider)
- Main image

- Experimental details
- Flow cytometry of Uroplakin III in HeLa cells. Cells were fixed and permeabilized then stained with Uroplakin III Monoclonal antibody (Product # MA5-44649) using a dilution of 1 µg/mL (red) at 4℃ for an hour followed by iFluor™ 488 conjugate-Goat anti-Rabbit IgG secondary antibody at a dilution of 1:1,000 for 30 minutes at 4℃. Rabbit IgG Isotype Control (green). Unlabeled sample was used as a control (cells without incubation with primary antibody; black).