Antibody data
- Antibody Data
- Antigen structure
- References [0]
- Comments [0]
- Validations
- Western blot [2]
- Immunocytochemistry [1]
- Immunohistochemistry [2]
- Flow cytometry [1]
- Other assay [1]
Submit
Validation data
Reference
Comment
Report error
- Product number
- 3115-MSM3-P0 - Provider product page

- Provider
- Invitrogen Antibodies
- Product name
- HLA-DP/-DQ/-DR (MHC II) Monoclonal Antibody (CR3/43)
- Antibody type
- Monoclonal
- Antigen
- Other
- Reactivity
- Human
- Host
- Mouse
- Isotype
- IgG
- Antibody clone number
- CR3/43
- Vial size
- 20 µg
- Concentration
- 200 µg/mL
- Storage
- 4° C, do not freeze
No comments: Submit comment
Supportive validation
- Submitted by
- Invitrogen Antibodies (provider)
- Main image

- Experimental details
- Western blot analysis of Ramos cell lysate using HLA-Pan Mouse Monoclonal Antibody (CR3/43).
- Submitted by
- Invitrogen Antibodies (provider)
- Main image

- Experimental details
- Western blot analysis of Human Spleen cell lysate using HLA-Pan Mouse Monoclonal Antibody (CR3/43).
Supportive validation
- Submitted by
- Invitrogen Antibodies (provider)
- Main image

- Experimental details
- Immunofluorescent staining of Raji cells. HLA- Pan Mouse Monoclonal Antibody (CR3/43) followed by goat anti-Mouse IgG-CF488 (Green). The nuclear counterstain is Reddot (Red).
Supportive validation
- Submitted by
- Invitrogen Antibodies (provider)
- Main image

- Experimental details
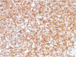
- Formalin-fixed, paraffin-embedded human Tonsil stained with HLA- Pan Mouse Monoclonal Antibody (CR3/43).
- Submitted by
- Invitrogen Antibodies (provider)
- Main image

- Experimental details
- Formalin-fixed, paraffin-embedded human Tonsil stained with HLA- Pan Mouse Monoclonal Antibody (CR3/43).
Supportive validation
- Submitted by
- Invitrogen Antibodies (provider)
- Main image

- Experimental details
- Flow Cytometric analysis of Human Raji cells using HLA-Pan Mouse Monoclonal Antibody (CR3/43) followed by goat anti-Mouse IgG-CF488 (Blue); Isotype control (Red).
Supportive validation
- Submitted by
- Invitrogen Antibodies (provider)
- Main image

- Experimental details
- SDS-PAGE analysis Purified HLA-Pan Mouse Monoclonal Antibody (CR3/43). Confirmation of Purity and Integrity of Antibody.