Antibody data
- Antibody Data
- Antigen structure
- References [0]
- Comments [0]
- Validations
- Western blot [1]
- Immunohistochemistry [2]
Submit
Validation data
Reference
Comment
Report error
- Product number
- 21702-1-AP - Provider product page

- Provider
- Proteintech Group
- Product name
- HLA-DRB5 antibody
- Antibody type
- Polyclonal
- Description
- HLA-DRB5 antibody (Cat. #21702-1-AP) is a rabbit polyclonal antibody that shows reactivity with human, mouse, rat and has been validated for the following applications: FC, IHC, WB,ELISA.
- Reactivity
- Human, Mouse, Rat
- Host
- Rabbit
- Conjugate
- Unconjugated
- Isotype
- IgG
- Vial size
- 20ul, 150ul
No comments: Submit comment
Supportive validation
- Submitted by
- Proteintech Group (provider)
- Main image

- Experimental details
- HepG2 cells were subjected to SDS PAGE followed by western blot with 21702-1-AP(HLA-DRB5 antibody) at dilution of 1:500
- Sample type
- cell line
Supportive validation
- Submitted by
- Proteintech Group (provider)
- Main image

- Experimental details
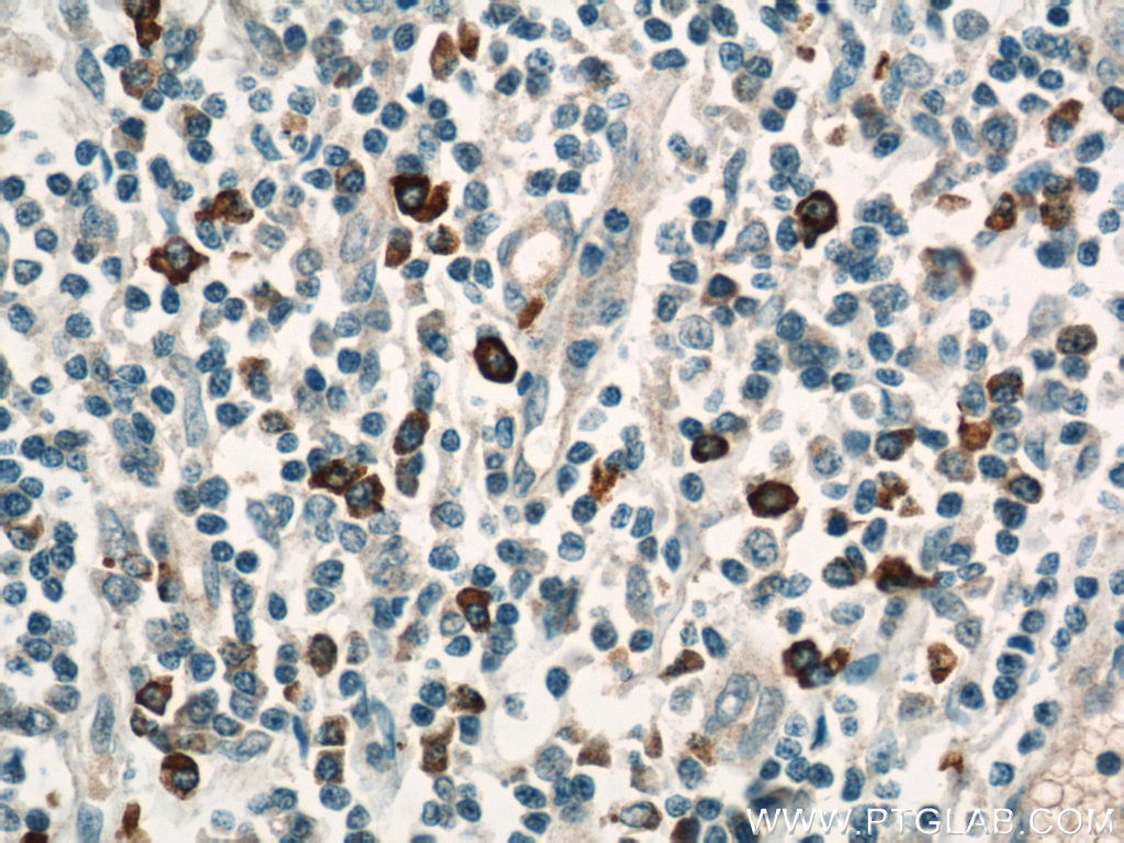
- Immunohistochemical of paraffin-embedded human tonsillitis using 21702-1-AP(HLA-DRB5 antibody) at dilution of 1:50 (under 10x lens)
- Sample type
- tissue
- Submitted by
- Proteintech Group (provider)
- Main image

- Experimental details
- The HLA-DRB5 antibody from Proteintech is a rabbit polyclonal antibody to a fusion protein of human HLA-DRB5. This antibody recognizes human,mouse,rat antigen. The HLA-DRB5 antibody has been validated for the following applications: ELISA, WB, IHC analysis.