Antibody data
- Antibody Data
- Antigen structure
- References [0]
- Comments [0]
- Validations
- Western blot [1]
- Immunocytochemistry [1]
- Immunohistochemistry [1]
- Flow cytometry [1]
Submit
Validation data
Reference
Comment
Report error
- Product number
- GTX83320 - Provider product page

- Provider
- GeneTex
- Proper citation
- GeneTex Cat#GTX83320, RRID:AB_11173664
- Product name
- Wnt1 antibody [10C8]
- Antibody type
- Monoclonal
- Reactivity
- Human, Mouse
- Host
- Mouse
No comments: Submit comment
Supportive validation
- Submitted by
- GeneTex (provider)
- Main image

- Experimental details
- Western blot analysis using anti-WNT1 monoclonal antibody against NIH/3T3 (1), 3T3L1 (2) and Hela (3) cell lysate.
Supportive validation
- Submitted by
- GeneTex (provider)
- Main image

- Experimental details
- Confocal immunofluorescence analysis of Hela (left) and 3T3-L1 (right) cells using anti-WNT1 mAb (green). Red: Actin filaments have been labeled with DY-554 phalloidin. Blue: DRAQ5 fluorescent DNA dye.
Supportive validation
- Submitted by
- GeneTex (provider)
- Main image

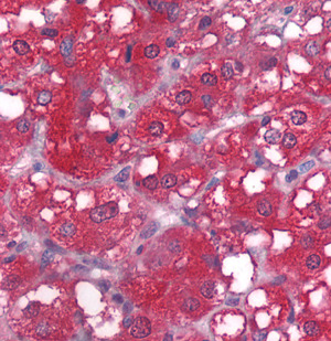
- Experimental details
- Immunohistochemical analysis of paraffin-embedded human LAdrenal tissues using WNT1 mouse mAb
Supportive validation
- Submitted by
- GeneTex (provider)
- Main image

- Experimental details
- Flow cytometric analysis of Hela cells using anti-WNT1 mAb (green) and negative control (purple).