Antibody data
- Antibody Data
- Antigen structure
- References [1]
- Comments [0]
- Validations
- Western blot [2]
- Immunohistochemistry [1]
Submit
Validation data
Reference
Comment
Report error
- Product number
- AP06617PU-N - Provider product page

- Provider
- Acris Antibodies GmbH
- Proper citation
- Acris Antibodies GmbH Cat#AP06617PU-N, RRID:AB_1624588
- Product name
- anti WNT1
- Antibody type
- Polyclonal
- Antigen
- Synthetic peptide, corresponding to amino acids 301-350 of Human Wnt-1.
- Reactivity
- Human, Mouse
- Host
- Rabbit
- Vial size
- 0.1 mg
- Concentration
- 1.0 mg/ml
Submitted references Differences in the developmental origins of the periosteum may influence bone healing.
Ichikawa Y, Watahiki J, Nampo T, Nose K, Yamamoto G, Irie T, Mishima K, Maki K
Journal of periodontal research 2014 Sep 16;
Journal of periodontal research 2014 Sep 16;
No comments: Submit comment
Supportive validation
- Submitted by
- Acris Antibodies GmbH (provider)
- Main image

- Experimental details
- Western blot analyzes of AP06617PU-N Wnt-1 antibody in extracts from HT-29 cells.
- Submitted by
- Acris Antibodies GmbH (provider)
- Main image

- Experimental details
- Western blot (WB) analysis of Wnt-1 antibody (Cat.-No.: AP06617PU-N) at 1/500 dilution Lane1: HEK293T whole cell lysate Lane2: H9C2 whole cell lysate Lane3: sp2/0 whole cell lysate
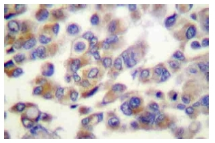
Supportive validation
- Submitted by
- Acris Antibodies GmbH (provider)
- Main image

- Experimental details
- Immunohistochemistry (IHC) analyzes of Wnt-1 antibody (Cat.-No.: AP06617PU-N) in paraffin-embedded Human breast carcinoma tissue.