Antibody data
- Antibody Data
- Antigen structure
- References [0]
- Comments [0]
- Validations
- Immunohistochemistry [8]
Submit
Validation data
Reference
Comment
Report error
- Product number
- ARG53467 - Provider product page

- Provider
- Arigo
- Product name
- anti-pI3KCA antibody [SP139]
- Antibody type
- Monoclonal
- Antigen
- Synthetic peptide in the internal region of the human pI3KCA protein.
- Description
- Purified by protein A/G
- Reactivity
- Human
- Host
- Rabbit
- Isotype
- IgG
- Antibody clone number
- SP139
- Vial size
- 100 µl
- Storage
- Aliquot and store at 2-8°C. Do not freeze. The antibody solution should be gently mixed before use.
- Handling
- The antibody solution should be gently mixed before use.
No comments: Submit comment
Supportive validation
- Submitted by
- Arigo (provider)
- Main image

- Experimental details
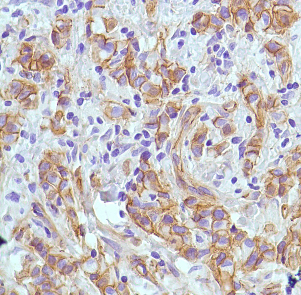
- Immunohistochemistry: Human Breast Ductal Carcinoma stained with pI3KCA antibody [SP139] (ARG53467)
- Submitted by
- Arigo (provider)
- Main image

- Experimental details
- Immunohistochemistry: Human Colon Adenocarcinoma stained with pI3KCA antibody [SP139] (ARG53467)
- Submitted by
- Arigo (provider)
- Main image

- Experimental details
- Immunohistochemistry: Human Stomach stained with pI3KCA antibody [SP139] (ARG53467)
- Submitted by
- Arigo (provider)
- Main image

- Experimental details
- Immunohistochemistry: Human Stomach Adenocarcinoma stained with pI3KCA antibody [SP139] (ARG53467)
- Submitted by
- Arigo (provider)
- Main image

- Experimental details
- Immunohistochemistry: Human Bladder Transitional Cell Carcinoma stained with pI3KCA antibody [SP139] (ARG53467)
- Submitted by
- Arigo (provider)
- Main image

- Experimental details
- Immunohistochemistry: Human Prostate Adenocarcinoma stained with pI3KCA antibody [SP139] (ARG53467)
- Submitted by
- Arigo (provider)
- Main image

- Experimental details
- Immunohistochemistry: Human Skin Squamous Cell Carcinoma stained with pI3KCA antibody [SP139] (ARG53467)
- Submitted by
- Arigo (provider)
- Main image

- Experimental details
- Immunohistochemistry: Human Skin stained with pI3KCA antibody [SP139] (ARG53467)