Antibody data
- Antibody Data
- Antigen structure
- References [0]
- Comments [0]
- Validations
- Western blot [1]
- Immunohistochemistry [1]
Submit
Validation data
Reference
Comment
Report error
- Product number
- PA5-48055 - Provider product page

- Provider
- Invitrogen Antibodies
- Product name
- TGM3 Polyclonal Antibody
- Antibody type
- Polyclonal
- Antigen
- Recombinant full-length protein
- Description
- In direct ELISAs and Western blots, less than 5% cross-reactivity with recombinant human (rh) TGM2, rhTGM4, and rhTGM7 is observed. Reconstitute at 0.2 mg/mL in sterile PBS.
- Reactivity
- Human
- Host
- Sheep
- Isotype
- IgG
- Vial size
- 100 μg
- Concentration
- 0.2 mg/mL
- Storage
- -20°C, Avoid Freeze/Thaw Cycles
No comments: Submit comment
Supportive validation
- Submitted by
- Invitrogen Antibodies (provider)
- Main image

- Experimental details
- Western blot analysis of TGM3 in B16‚F1 mouse melanoma cell line, Bowes human melanoma cell line, and human skin tissue. Samples were incubated in TGM3 polyclonal antibody (Product # PA5-48055) using a dilution of 1 µg/mL followed by a HRP-conjugated Anti-Sheep IgG secondary antibody. For additional reference, Recombinant Human Transglutaminase 3/TGM3 (10 ng/lane) uncleaved and cleaved by recombinant human Cathepsin were included. Specific bands were detected for uncleaved Transglutaminase 3/TGM3 at approximately 77 kDa (as indicated) and Transglutaminase 3/TGM3 cleavage products at approximately 50 and 30 kDa (as indicated). This experiment was conducted under reducing conditions.
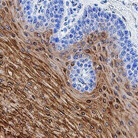
Supportive validation
- Submitted by
- Invitrogen Antibodies (provider)
- Main image

- Experimental details
- Immunohistochemical analysis of TGM3 in immersion fixed paraffin-embedded sections of human esophagus. Samples were incubated in TGM3 polyclonal antibody (Product # PA5-48055) using a dilution of 10 µg/mL overnight at 4 °C. Before incubation with the primary antibody, tissue was subjected to heat-induced epitope retrieval using Antigen Retrieval Reagent-Basic. Tissue was stained using the Anti-Sheep HRP-DAB Cell & Tissue Staining Kit (brown) and counterstained with hematoxylin (blue). Specific staining was localized to cells in the papillae layer in mucosa.