TA322560
antibody from OriGene
Targeting: AKAP9
AKAP350, AKAP450, CG-NAP, HYPERION, KIAA0803, LQT11, MU-RMS-40.16A, PPP1R45, PRKA9, YOTIAO
Antibody data
- Antibody Data
- Antigen structure
- References [0]
- Comments [0]
- Validations
- Immunohistochemistry [1]
Submit
Validation data
Reference
Comment
Report error
- Product number
- TA322560 - Provider product page

- Provider
- OriGene
- Product name
- Anti-AKAP9 Rabbit Polyclonal Antibody
- Antibody type
- Polyclonal
- Description
- Anti-AKAP9 Rabbit Polyclonal Antibody
- Host
- Rabbit
- Conjugate
- Unconjugated
- Epitope
- AKAP9
- Isotype
- IgG
- Antibody clone number
- NULL
- Vial size
- 100 µl
- Concentration
- 0.4mg/ml
No comments: Submit comment
Supportive validation
- Submitted by
- OriGene (provider)
- Main image

- Experimental details
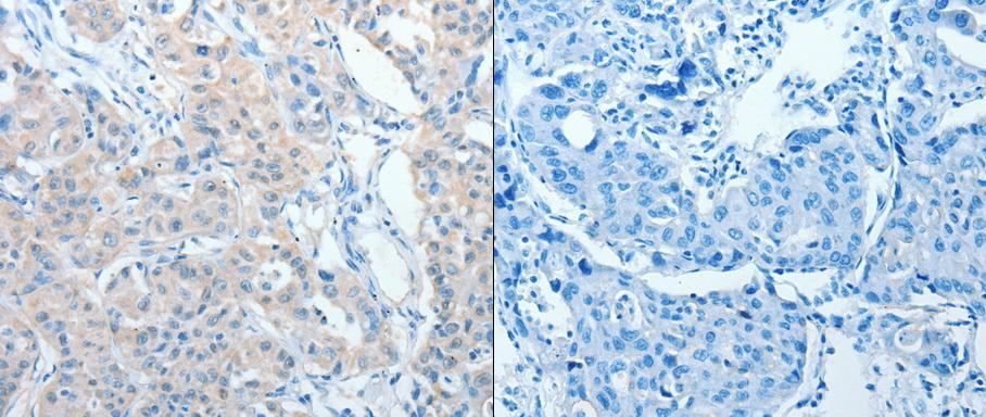
- Predicted cell location: Cytoplasm. Positive control: Human lung cancer tissue. Recommended dilution: 1/10-50 The image on the left is immunohistochemistry of paraffin-embedded human lung cancer tissue using AKAP9 antibody at dilution 1/10, on the right is treated with the fusion protein. (Original magnification:x200)
- Validation comment
- IHC