NBP1-88023
antibody from Novus Biologicals
Targeting: DERL1
DER-1, DER1, derlin-1, FLJ13784, MGC3067, PRO2577
Antibody data
- Antibody Data
- Antigen structure
- References [0]
- Comments [0]
- Validations
- Western blot [1]
- Immunohistochemistry [4]
Submit
Validation data
Reference
Comment
Report error
- Product number
- NBP1-88023 - Provider product page

- Provider
- Novus Biologicals
- Proper citation
- Novus Cat#NBP1-88023, RRID:AB_11036248
- Product name
- Rabbit Polyclonal Derlin 1 Antibody
- Antibody type
- Polyclonal
- Description
- Immunogen affinity purified. Specificity of human Derlin 1 antibody verified on a Protein Array containing target protein plus 383 other non-specific proteins.
- Reactivity
- Human
- Host
- Rabbit
- Isotype
- IgG
- Vial size
- 0.1 ml
- Storage
- Store at 4C short term. Aliquot and store at -20C long term. Avoid freeze-thaw cycles.
No comments: Submit comment
Supportive validation
- Submitted by
- Novus Biologicals (provider)
- Main image

- Experimental details
- Western Blot: Derlin 1 Antibody [NBP1-88023] - Analysis in human cell line MCF-7.
Supportive validation
- Submitted by
- Novus Biologicals (provider)
- Main image

- Experimental details
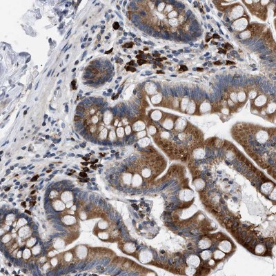
- Immunohistochemistry-Paraffin: Derlin 1 Antibody [NBP1-88023] - Staining of human small intestine shows moderate to strong cytoplasmic positivity in lymphoid cells and in glandular cells.
- Submitted by
- Novus Biologicals (provider)
- Main image

- Experimental details
- Immunohistochemistry-Paraffin: Derlin 1 Antibody [NBP1-88023] - Staining of human cerebral cortex shows moderate to strong cytoplasmic positivity in neuronal cells.
- Submitted by
- Novus Biologicals (provider)
- Main image

- Experimental details
- Immunohistochemistry-Paraffin: Derlin 1 Antibody [NBP1-88023] - Staining of human tonsil shows moderate to strong cytoplasmic positivity in lymphoid cells.
- Submitted by
- Novus Biologicals (provider)
- Main image

- Experimental details
- Immunohistochemistry-Paraffin: Derlin 1 Antibody [NBP1-88023] - Staining of human lung shows moderate to strong cytoplasmic positivity in macrophages.