Antibody data
- Antibody Data
- Antigen structure
- References [1]
- Comments [0]
- Validations
- Western blot [3]
- Immunohistochemistry [8]
Submit
Validation data
Reference
Comment
Report error
- Product number
- NBP1-81488 - Provider product page

- Provider
- Novus Biologicals
- Proper citation
- Novus Cat#NBP1-81488, RRID:AB_11034130
- Product name
- Rabbit Polyclonal BICD2 Antibody
- Antibody type
- Polyclonal
- Description
- Immunogen affinity purified. Specificity of human BICD2 antibody verified on a Protein Array containing target protein plus 383 other non-specific proteins.
- Reactivity
- Human, Mouse, Rat
- Host
- Rabbit
- Isotype
- IgG
- Vial size
- 0.1 ml
- Storage
- Store at 4C short term. Aliquot and store at -20C long term. Avoid freeze-thaw cycles.
Submitted references BICD1 mediates HIF1α nuclear translocation in mesenchymal stem cells during hypoxia adaptation.
Lee HJ, Jung YH, Oh JY, Choi GE, Chae CW, Kim JS, Lim JR, Kim SY, Lee SJ, Seong JK, Han HJ
Cell death and differentiation 2019 Sep;26(9):1716-1734
Cell death and differentiation 2019 Sep;26(9):1716-1734
No comments: Submit comment
Supportive validation
- Submitted by
- Novus Biologicals (provider)
- Main image

- Experimental details
- Western Blot: BICD2 Antibody [NBP1-81488] - Analysis in mouse cell line NIH-3T3 and rat cell line NBT-II.
- Submitted by
- Novus Biologicals (provider)
- Main image

- Experimental details
- Western Blot: BICD2 Antibody [NBP1-81488] - Analysis in human cell line U-2197.
- Submitted by
- Novus Biologicals (provider)
- Main image

- Experimental details
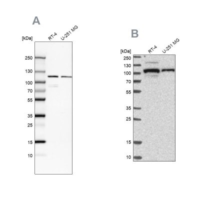
- Western Blot: BICD2 Antibody [NBP1-81488] - Analysis using Anti-BICD2 antibody NBP1-81488 (A) shows similar pattern to independent antibody NBP1-81489 (B).
Supportive validation
- Submitted by
- Novus Biologicals (provider)
- Main image

- Experimental details
- Immunohistochemistry-Paraffin: BICD2 Antibody [NBP1-81488] - Staining of human liver shows low expression as expected.
- Submitted by
- Novus Biologicals (provider)
- Main image

- Experimental details
- Immunohistochemistry-Paraffin: BICD2 Antibody [NBP1-81488] - Staining of human skin shows high expression.
- Submitted by
- Novus Biologicals (provider)
- Main image

- Experimental details
- Immunohistochemistry-Paraffin: BICD2 Antibody [NBP1-81488] - Staining in human skin and liver tissues using anti-BICD2 antibody. Corresponding BICD2 RNA-seq data are presented for the same tissues.
- Submitted by
- Novus Biologicals (provider)
- Main image

- Experimental details
- Immunohistochemistry-Paraffin: BICD2 Antibody [NBP1-81488] - Staining of human liver, lymph node, skin and testis using Anti-BICD2 antibody NBP1-81488 (A) shows similar protein distribution across tissues to independent antibody NBP1-81489 (B).
- Submitted by
- Novus Biologicals (provider)
- Main image

- Experimental details
- Immunohistochemistry-Paraffin: BICD2 Antibody [NBP1-81488] - Staining of human testis.
- Submitted by
- Novus Biologicals (provider)
- Main image

- Experimental details
- Immunohistochemistry-Paraffin: BICD2 Antibody [NBP1-81488] - Staining of human skin using Anti-BICD2 antibody NBP1-81488.
- Submitted by
- Novus Biologicals (provider)
- Main image

- Experimental details
- Immunohistochemistry-Paraffin: BICD2 Antibody [NBP1-81488] - Staining of human lymph node.
- Submitted by
- Novus Biologicals (provider)
- Main image

- Experimental details
- Immunohistochemistry-Paraffin: BICD2 Antibody [NBP1-81488] - Staining of human liver using Anti-BICD2 antibody NBP1-81488.