Antibody data
- Antibody Data
- Antigen structure
- References [0]
- Comments [0]
- Validations
- Immunohistochemistry [3]
Submit
Validation data
Reference
Comment
Report error
- Product number
- PA5-52120 - Provider product page

- Provider
- Invitrogen Antibodies
- Product name
- HRC Polyclonal Antibody
- Antibody type
- Polyclonal
- Antigen
- Recombinant protein fragment
- Description
- Immunogen sequence: SHEEDDNDDD DVSTEYGHQA HRHQDHRKEE VEAVSGEHHH HVPDHRHQGH RDEEEDEDVS TERWHQGPQH VHHGLVDEEE EEEEITVQFG HYVASHQPRG HKSDEEDFQD EYKTEVPHHH HHRVPREEDE EVSAELG Highest antigen sequence identity to the following orthologs: Mouse - 54%, Rat - 51%.
- Reactivity
- Human
- Host
- Rabbit
- Isotype
- IgG
- Vial size
- 100 μL
- Concentration
- 0.2 mg/mL
- Storage
- Store at 4°C short term. For long term storage, store at -20°C, avoiding freeze/thaw cycles.
No comments: Submit comment
Supportive validation
- Submitted by
- Invitrogen Antibodies (provider)
- Main image

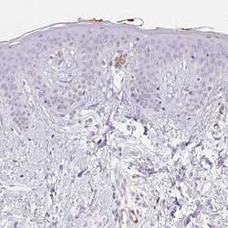
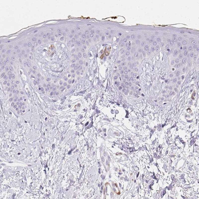
- Experimental details
- Immunohistochemical staining of HRC in human skin using HRC Polyclonal Antibody (Product # PA5-52120) shows low expression as expected.
- Submitted by
- Invitrogen Antibodies (provider)
- Main image

- Experimental details
- Immunohistochemical analysis of HRC in human heart muscle using HRC Polyclonal Antibody (Product # PA5-52120) shows high expression.
- Submitted by
- Invitrogen Antibodies (provider)
- Main image

- Experimental details
- Immunohistochemical staining of HRC in human heart muscle and skin tissues using HRC Polyclonal Antibody (Product # PA5-52120). Corresponding HRC RNA-seq data are presented for the same tissues.