Antibody data
- Antibody Data
- Antigen structure
- References [3]
- Comments [0]
- Validations
- Western blot [1]
- Immunohistochemistry [1]
Submit
Validation data
Reference
Comment
Report error
- Product number
- PAB13153 - Provider product page

- Provider
- Abnova Corporation
- Proper citation
- Abnova Corporation Cat#PAB13153, RRID:AB_10558452
- Product name
- C1QTNF4 polyclonal antibody
- Antibody type
- Polyclonal
- Description
- Rabbit polyclonal antibody raised against synthetic peptide of C1QTNF4.
- Storage
- Store at 4°C for three months. For long term storage store at -20°C.Aliquot to avoid repeated freezing and thawing.
Submitted references ACRP30, a new hormone controlling fat and glucose metabolism.
Human lactoferrin interacts with soluble CD14 and inhibits expression of endothelial adhesion molecules, E-selectin and ICAM-1, induced by the CD14-lipopolysaccharide complex.
The crystal structure of a complement-1q family protein suggests an evolutionary link to tumor necrosis factor.
Tsao TS, Lodish HF, Fruebis J
European journal of pharmacology 2002 Apr 12;440(2-3):213-21
European journal of pharmacology 2002 Apr 12;440(2-3):213-21
Human lactoferrin interacts with soluble CD14 and inhibits expression of endothelial adhesion molecules, E-selectin and ICAM-1, induced by the CD14-lipopolysaccharide complex.
Baveye S, Elass E, Fernig DG, Blanquart C, Mazurier J, Legrand D
Infection and immunity 2000 Dec;68(12):6519-25
Infection and immunity 2000 Dec;68(12):6519-25
The crystal structure of a complement-1q family protein suggests an evolutionary link to tumor necrosis factor.
Shapiro L, Scherer PE
Current biology : CB 1998 Mar 12;8(6):335-8
Current biology : CB 1998 Mar 12;8(6):335-8
No comments: Submit comment
Supportive validation
- Submitted by
- Abnova Corporation (provider)
- Main image

- Experimental details
- Western blot analysis of C1QTNF4 in rat brain tissue lysate with C1QTNF4 polyclonal antibody (Cat # PAB13153) at (A) 1, (B) 2, and (C) 4 ug/mL .
Supportive validation
- Submitted by
- Abnova Corporation (provider)
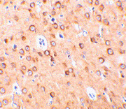
- Main image

- Experimental details
- Immunohistochemistry of C1QTNF4 in rat brain with C1QTNF4 polyclonal antibody (Cat # PAB13153) at 10 ug/mL .
- Validation comment
- Immunohistochemistry (Formalin/PFA-fixed paraffin-embedded sections)