Antibody data
- Antibody Data
- Antigen structure
- References [0]
- Comments [0]
- Validations
- Western blot [2]
- Immunohistochemistry [1]
- Flow cytometry [1]
Submit
Validation data
Reference
Comment
Report error
- Product number
- F54894 - Provider product page

- Provider
- NSJ Bioreagents
- Product name
- Galactose-1-phosphate uridylyltransferase Antibody / GALT
- Antibody type
- Polyclonal
- Description
- This highly specific Galactose-1-phosphate uridylyltransferase antibody is suitable for use in Flow cytometry/Immunohistochemistry/Western blot applications with human samples.
- Reactivity
- Human
- Host
- Rabbit
- Conjugate
- Unconjugated
- Vial size
- 0.08 ml, 0.4 ml
- Concentration
- In 1X PBS, pH 7.4, with 0.09% sodium azide
- Storage
- Aliquot the Galactose-1-phosphate uridylyltransferase antibody and store frozen at -20oC or colder. Avoid repeated freeze-thaw cycles.
No comments: Submit comment
Supportive validation
- Submitted by
- NSJ Bioreagents (provider)
- Main image

- Experimental details
- Western blot testing of human HepG2 cell lysate with Galactose-1-phosphate uridylyltransferase antibody. Predicted molecular weight ~43 kDa.
- Submitted by
- NSJ Bioreagents (provider)
- Main image

- Experimental details
- Western blot testing of human MDA-MB-231 cell lysate with Galactose-1-phosphate uridylyltransferase antibody. Predicted molecular weight ~43 kDa.
Supportive validation
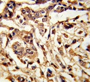
- Submitted by
- NSJ Bioreagents (provider)
- Main image

- Experimental details
- IHC testing of FFPE human breast carcinoma tissue with Galactose-1-phosphate uridylyltransferase antibody. HIER: steam section in pH6 citrate buffer for 20 min and allow to cool prior to staining.
Supportive validation
- Submitted by
- NSJ Bioreagents (provider)
- Main image

- Experimental details
- Flow cytometry testing of human MDA-MB-468 cells with Galactose-1-phosphate uridylyltransferase antibody; Blue=isotype control, Green= Galactose-1-phosphate uridylyltransferase antibody.