Antibody data
- Antibody Data
- Antigen structure
- References [0]
- Comments [0]
- Validations
- Western blot [1]
- Immunoprecipitation [1]
- Immunohistochemistry [1]
Submit
Validation data
Reference
Comment
Report error
- Product number
- NBP2-76401 - Provider product page

- Provider
- Novus Biologicals
- Product name
- Rabbit Monoclonal SETD1A Antibody
- Antibody type
- Monoclonal
- Description
- Antigen Affinity-purified.
- Reactivity
- Human, Mouse
- Host
- Rabbit
- Isotype
- IgG
- Vial size
- 100 ul
- Storage
- Store at 2 - 8 C 1 year from date of receipt
No comments: Submit comment
Supportive validation
- Submitted by
- Novus Biologicals (provider)
- Main image

- Experimental details
- Western Blot: SETD1A Antibody (BLR024E) [NBP2-76401] - Detection of human and mouse hSET1 by WB of HeLa, HEK293T, Jurkat, and TCMK-1 lysate. Antibody: Rabbit anti-hSET1 recombinant monoclonal [BLR024E] (NBP2-76401). Secondary: HRP-conjugated goat anti-rabbit IgG.
Supportive validation
- Submitted by
- Novus Biologicals (provider)
- Main image

- Experimental details
- Immunoprecipitation: SETD1A Antibody (BLR024E) [NBP2-76401] - Detection of human hSET1 by WB of immunoprecipitates from HEK293T lysate. Antibodies: Rabbit anti-hSET1 recombinant monoclonal [BLR024E] (NBP2-76401) and another rabbit anti-hSET1 antibody.
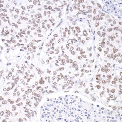
Supportive validation
- Submitted by
- Novus Biologicals (provider)
- Main image

- Experimental details
- Immunohistochemistry-Paraffin: SETD1A Antibody (BLR024E) [NBP2-76401] - Section of human lung carcinoma. Antibody: Rabbit anti-hSET1 recombinant monoclonal antibody [BLR024E] used at 1:25. Secondary: HRPconjugated goat anti-rabbit IgG. (Substrate: DAB).