Antibody data
- Antibody Data
- Antigen structure
- References [0]
- Comments [0]
- Validations
- Immunocytochemistry [2]
- Immunohistochemistry [5]
Submit
Validation data
Reference
Comment
Report error
- Product number
- PA5-54044 - Provider product page

- Provider
- Invitrogen Antibodies
- Product name
- Annexin A13 Polyclonal Antibody
- Antibody type
- Polyclonal
- Antigen
- Recombinant protein fragment
- Description
- Immunogen sequence: CTRTNKEIIA IKEAYQRLFD RSLESDVKGD TSGNLKKILV SLLQANRNEG DDVDKDLAGQ DAKDLYDAGE GRWGTDEL Highest antigen sequence identity to the following orthologs: Mouse - 53%, Rat - 86%.
- Reactivity
- Human
- Host
- Rabbit
- Isotype
- IgG
- Vial size
- 100 μL
- Concentration
- 0.1 mg/mL
- Storage
- Store at 4°C short term. For long term storage, store at -20°C, avoiding freeze/thaw cycles.
No comments: Submit comment
Supportive validation
- Submitted by
- Invitrogen Antibodies (provider)
- Main image

- Experimental details
- Immunofluorescent staining of Annexin A13 in human cell line U-251 MG shows positivity in plasma membrane. Samples were probed using an Annexin A13 Polyclonal Antibody (Product # PA5-54044).
- Submitted by
- Invitrogen Antibodies (provider)
- Main image

- Experimental details
- Immunofluorecent analysis of Annexin A13 in human cell line U-251 MG using Annexin A13 Polyclonal Antibody (Product # PA5-54044). Staining shows localization to plasma membrane.
Supportive validation
- Submitted by
- Invitrogen Antibodies (provider)
- Main image

- Experimental details
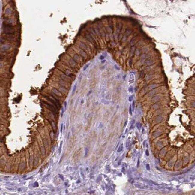
- Immunohistochemical staining of Annexin A13 in human small intestine using Annexin A13 Polyclonal Antibody (Product # PA5-54044).
- Submitted by
- Invitrogen Antibodies (provider)
- Main image

- Experimental details
- Immunohistochemical staining of Annexin A13 in human duodenum, fallopian tube, gallbladder and small intestine using Annexin A13 Polyclonal Antibody (Product # PA5-54044) (A) shows similar protein distribution across tissues to an independent Annexin A13 Polyclonal Antibody (B).
- Submitted by
- Invitrogen Antibodies (provider)
- Main image

- Experimental details
- Immunohistochemical staining of Annexin A13 in human duodenum using Annexin A13 Polyclonal Antibody (Product # PA5-54044).
- Submitted by
- Invitrogen Antibodies (provider)
- Main image

- Experimental details
- Immunohistochemical staining of Annexin A13 in human fallopian tube using Annexin A13 Polyclonal Antibody (Product # PA5-54044).
- Submitted by
- Invitrogen Antibodies (provider)
- Main image

- Experimental details
- Immunohistochemical staining of Annexin A13 in human gallbladder using Annexin A13 Polyclonal Antibody (Product # PA5-54044).