Antibody data
- Antibody Data
- Antigen structure
- References [0]
- Comments [0]
- Validations
- Western blot [2]
- Immunoprecipitation [1]
Submit
Validation data
Reference
Comment
Report error
- Product number
- R32419 - Provider product page

- Provider
- NSJ Bioreagents
- Product name
- AFG3L2 Antibody
- Antibody type
- Polyclonal
- Description
- This highly specific AFG3L2 antibody is suitable for use in Western blot/Immunofluorescence/Flow cytometry applications with human, mouse and rat samples.
- Reactivity
- Human, Mouse, Rat
- Host
- Rabbit
- Conjugate
- Unconjugated
- Vial size
- 100 ug
- Concentration
- 0.5mg/ml if reconstituted with 0.2ml sterile DI water
- Storage
- After reconstitution, the AFG3L2 antibody can be stored for up to one month at 4oC. For long-term, aliquot and store at -20oC. Avoid repeated freezing and thawing.
No comments: Submit comment
Supportive validation
- Submitted by
- NSJ Bioreagents (provider)
- Main image

- Experimental details
- Western blot testing of 1) rat brain, 2) mouse spleen and 3) human U87 lysate with AFG3L2 antibody. Expected/observed molecular weight ~89 kDa.
- Submitted by
- NSJ Bioreagents (provider)
- Main image

- Experimental details
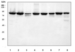
- Western blot testing of 1) human HeLa, 2) human MCF7, 3) human Jurkat, 4) human MDA-MB-453, 5) rat brain, 6) rat liver, 7) mouses brain and 8) mouse liver tissue lysate with AFG3L2 antibody. Expected molecular weight ~89 kDa.
Enhanced validation
- Submitted by
- NSJ Bioreagents (provider)
- Enhanced method
- Genetic validation
- Main image

- Experimental details
- Immunoprecipitation of AFG3L2 protein from 500ug of human MCF7 whole cell lysate with 2ug of AFG3L2 antibody.