Antibody data
- Antibody Data
- Antigen structure
- References [0]
- Comments [0]
- Validations
- Immunohistochemistry [3]
Submit
Validation data
Reference
Comment
Report error
- Product number
- SP4092P - Provider product page

- Provider
- OriGene
- Product name
- CELSR1 (C-term) rabbit polyclonal antibody, Aff - Purified
- Antibody type
- Polyclonal
- Description
- CELSR1 (C-term) rabbit polyclonal antibody, Aff - Purified
- Host
- Rabbit
- Conjugate
- Unconjugated
- Epitope
- CELSR1
- Antibody clone number
- NULL
- Vial size
- 50 µg
- Concentration
- 1.0 mg/ml
No comments: Submit comment
Supportive validation
- Submitted by
- OriGene (provider)
- Main image

- Experimental details
- Immunhistochemistry analysis in human tonsil (Formalin-fixed, Paraffin-embedded) using?CELSR1?antibody .? (C-term).
- Validation comment
- IHC
- Submitted by
- OriGene (provider)
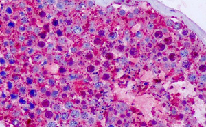
- Main image

- Experimental details
- Immunhistochemistry analysis in human testis (Formalin-fixed, Paraffin-embedded) using CELSR1?antibody . (C-term).
- Validation comment
- IHC
- Submitted by
- OriGene (provider)
- Main image

- Experimental details
- Immunhistochemistry analysis in human adrenal (Formalin-fixed, Paraffin-embedded) using?CELSR1?antibody .? (C-term).
- Validation comment
- IHC