Antibody data
- Antibody Data
- Antigen structure
- References [0]
- Comments [0]
- Validations
- Immunohistochemistry [1]
Submit
Validation data
Reference
Comment
Report error
- Product number
- SP4091P - Provider product page

- Provider
- Acris Antibodies GmbH
- Proper citation
- Acris Antibodies GmbH Cat#SP4091P, RRID:AB_977079
- Product name
- anti CELSR1 (N-term)
- Antibody type
- Polyclonal
- Antigen
- Synthetic peptide - KLH conjugated.Epitope: N-terminal extracellular domain of human.
- Reactivity
- Human
- Host
- Rabbit
- Vial size
- 50 µg
- Concentration
- 1.0 mg/ml
No comments: Submit comment
Supportive validation
- Submitted by
- Acris Antibodies GmbH (provider)
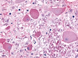
- Main image

- Experimental details
- SP4091P CELSR1 antibody staining of Formalin-Fixed, Paraffin-Embedded Human Brain.