Antibody data
- Antibody Data
 - Antigen structure
 - References [0]
 - Comments [0]
 - Validations
 - Western blot [1]
 - Immunohistochemistry [4]
 
Submit
Validation data
Reference
Comment
Report error
- Product number
 - LS-C376443 - Provider product page

 - Provider
 - LSBio
 - Product name
 - RBKS / Ribokinase Antibody LS-C376443
 - Antibody type
 - Polyclonal
 - Description
 - Protein G purified
 - Reactivity
 - Human
 - Host
 - Rabbit
 - Isotype
 - IgG
 - Storage
 - Short term: -20°C; Long term: -80°C; Avoid freeze-thaw cycles.
 
				No comments: Submit comment	
	
			
							
					Enhanced validation
					
									
				
				- Submitted by
 - LSBio (provider)
 - Enhanced method
 - Genetic validation
 - Main image
 
- Experimental details
 - Western Blot Positive WB detected in: Rat brain tissue, Rat liver tissue All lanes: RBKS antibody at 3.4µg/ml Secondary Goat polyclonal to rabbit IgG at 1/50000 dilution Predicted band size: 35, 31 kDa Observed band size: 35 kDa
 
							
					Supportive validation
					
									
				
		- Submitted by
 - LSBio (provider)
 - Enhanced method
 - Genetic validation
 - Main image
 
- Experimental details
 - Immunohistochemistry analysis of human liver cancer using RBKS Antibody at dilution of 1:100
 
- Submitted by
 - LSBio (provider)
 - Enhanced method
 - Genetic validation
 - Main image
 
- Experimental details
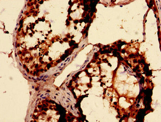
 - Immunohistochemistry analysis of human testis tissue using RBKS Antibody at dilution of 1:100
 
- Submitted by
 - LSBio (provider)
 - Enhanced method
 - Genetic validation
 - Main image
 
- Experimental details
 - Immunohistochemistry analysis of human testis tissue using RBKS Antibody at dilution of 1:100
 
- Submitted by
 - LSBio (provider)
 - Enhanced method
 - Genetic validation
 - Main image
 
- Experimental details
 - Immunohistochemistry analysis of human liver cancer using RBKS Antibody at dilution of 1:100