Antibody data
- Antibody Data
- Antigen structure
- References [0]
- Comments [0]
- Validations
- Western blot [1]
- Immunocytochemistry [1]
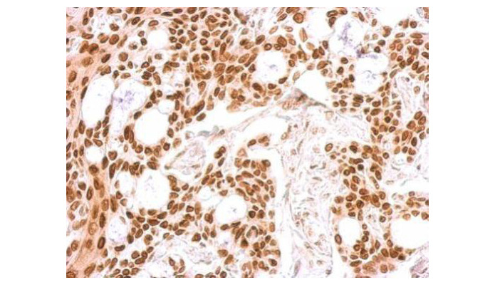
- Immunohistochemistry [1]
Submit
Validation data
Reference
Comment
Report error
- Product number
- OAGA00890 - Provider product page

- Provider
- Aviva Systems Biology
- Product name
- BRE antibody
- Antibody type
- Polyclonal
- Reactivity
- Human, Mouse, Rat
- Host
- Rabbit
- Isotype
- IgG
- Vial size
- 100µl
- Storage
- Keep as concentrated solution. Aliquot and store at -20°C or below. Avoid multiple freeze-thaw cycles.
No comments: Submit comment
Supportive validation
- Submitted by
- Aviva Systems Biology (provider)
- Main image

- Experimental details
- BRCC45 antibody detects BRE protein by Western blot analysis.A. 30 ug A431 whole cell lysate/extract B. 30 ug HeLa whole cell lysate/extract 10 % SDS-PAGEBRCC45 antibody (OAGA00890) dilution: 1:1000
Supportive validation
- Submitted by
- Aviva Systems Biology (provider)
- Main image

- Experimental details
- Immunofluorescence analysis of paraformaldehyde-fixed HeLa, using BRE(OAGA00890) antibody at 1:200 dilution.
Supportive validation
- Submitted by
- Aviva Systems Biology (provider)
- Main image

- Experimental details
- BRCC45 antibody detects BRE protein at nucleus on Cal27 xenograft by immunohistochemical analysis. Sample: Paraffin-embedded Cal27 xenograft. BRCC45 antibody (OAGA00890) dilution: 1:500.