Antibody data
- Antibody Data
- Antigen structure
- References [0]
- Comments [0]
- Validations
- Western blot [1]
- Immunohistochemistry [1]
- Flow cytometry [1]
Submit
Validation data
Reference
Comment
Report error
- Product number
- F54517 - Provider product page

- Provider
- NSJ Bioreagents
- Product name
- NPPA Antibody / Atrial Natriuretic Peptide/Factor
- Antibody type
- Polyclonal
- Description
- This highly specific NPPA antibody is suitable for use in Western blot/Immunohistochemistry/Flow cytometry applications with human and mouse samples.
- Reactivity
- Human, Mouse
- Host
- Rabbit
- Conjugate
- Unconjugated
- Vial size
- 0.05 ml, 0.2 ml
- Concentration
- In 1X PBS, pH 7.4, with 0.09% sodium azide
- Storage
- Aliquot the NPPA antibody and store frozen at -20oC or colder. Avoid repeated freeze-thaw cycles.
No comments: Submit comment
Supportive validation
- Submitted by
- NSJ Bioreagents (provider)
- Main image

- Experimental details
- Western blot testing of 1) human fetal heart and 2) mouse heart lysate with NPPA antibody. Predicted molecular weight ~17 kDa.
Supportive validation
- Submitted by
- NSJ Bioreagents (provider)
- Main image

- Experimental details
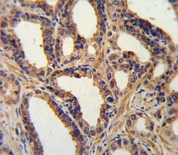
- IHC testing of FFPE human prostate carcinoma tissue with NPPA antibody. HIER: steam section in pH6 citrate buffer for 20 min and allow to cool prior to staining.
Supportive validation
- Submitted by
- NSJ Bioreagents (provider)
- Main image

- Experimental details
- Flow cytometry testing of fixed and permeabilized human RD cells with NPPA antibody; Blue=isotype control, Green = NPPA antibody.