Antibody data
- Antibody Data
 - Antigen structure
 - References [26]
 - Comments [0]
 - Validations
 - Western blot [1]
 - Immunohistochemistry [2]
 - Flow cytometry [1]
 
Submit
Validation data
Reference
Comment
Report error
- Product number
 - 18696-1-AP - Provider product page

 - Provider
 - Proteintech Group
 - Proper citation
 - Proteintech Cat#18696-1-AP, RRID:AB_2249558
 - Product name
 - c-Kit/CD117 antibody
 - Antibody type
 - Polyclonal
 - Description
 - c-Kit/CD117 antibody (Cat. #18696-1-AP) is a rabbit polyclonal antibody that shows reactivity with human and has been validated for the following applications: FC, IF, IHC, WB,ELISA.
 - Reactivity
 - Human
 - Host
 - Rabbit
 - Conjugate
 - Unconjugated
 - Isotype
 - IgG
 - Vial size
 - 20ul, 150ul
 
Submitted references		p21/Zbtb18 repress the expression of cKit to regulate the self-renewal of hematopoietic stem cells.
				
Elevated c-kit expression in failed autologous arteriovenous fistulas in end-stage renal disease patients.
				
A novel regulatory sex-skewing method that inhibits testicular DPY30 expression to increase female rate of dairy goat offspring.
				
Stromal-derived MAOB promotes prostate cancer growth and progression.
				
Four novel mutations identification in 17 beta-hydroxysteroid dehydrogenase-3 deficiency and our clinical experience: possible benefits of early treatment.
				
Primary extra-gastrointestinal stromal tumor of retroperitoneum: Clinicopathologic characteristics and prognosis of six cases.
				
Characterization of a Human Gastrointestinal Stromal Tumor Cell Line Established by SV40LT-Mediated Immortalization.
				
Treatment with imatinib was useful to delay the neointimal hyperplasia of aortocaval fistula in adenine-induced renal failure rats.
				
Characteristics of the Cajal interstitial cells and intestinal microbiota in children with refractory constipation.
				
Accelerating Wound Closure With Metrnl in Normal and Diabetic Mouse Skin.
				
Exposure to elevated temperature affects the expression of PIWI-interacting RNAs and associated transcripts in mouse testes.
				
Receptor tyrosine kinase C-kit promotes a destructive phenotype of FLS in osteoarthritis via intracellular EMT signaling.
				
Electroacupuncture improves cardiac function after myocardial infarction by regulating the mobilization and migration of endogenous stem cells.
				
Acceleration of melanocyte senescence by the proinflammatory cytokines IFNγ and TNFα impairs the repigmentation response of vitiligo patients to narrowband ultraviolet B (NBUVB) phototherapy.
				
Identification of the Prognostic Biomarkers CBX6 and CBX7 in Bladder Cancer.
				
Preclinical Evaluation of the Multiple Tyrosine Kinases Inhibitor Anlotinib in Leukemia Stem Cells.
				
Bufalin Inhibits Tumorigenesis, Stemness, and Epithelial-Mesenchymal Transition in Colorectal Cancer through a C-Kit/Slug Signaling Axis.
				
Single-Cell Sequencing Unveils the Heterogeneity of Nonimmune Cells in Chronic Apical Periodontitis.
				
Comparative Transcriptome Analysis Reveals Relationship among mRNAs, lncRNAs, and circRNAs of Slow Transit Constipation.
				
Immune Infiltrating Cells-Derived Risk Signature Based on Large-scale Analysis Defines Immune Landscape and Predicts Immunotherapy Responses in Glioma Tumor Microenvironment.
				
SDF-1α promotes repair of myocardial ischemic necrosis zones in rats.
				
The role of high serum CXCL13 level in Waldenström macroglobulinemia.
				
RNA-Seq-based transcriptomic profiling of primary interstitial cells of Cajal in response to bovine viral diarrhea virus infection.
				
Growth differentiation factor 15 contributes to marrow adipocyte remodeling in response to the growth of leukemic cells.
				
Orai1 mediates tumor-promoting store-operated Ca(2+) entry in human gastrointestinal stromal tumors via c-KIT and the extracellular signal-regulated kinase pathway.
				
Effects and mechanism of RhoC downregulation in suppressing ovarian cancer stem cell proliferation, drug resistance, invasion and metastasis.
				
		
	
			Wang N, Yang S, Li Y, Gou F, Lv Y, Zhao X, Wang Y, Xu C, Zhou B, Dong F, Ju Z, Cheng T, Cheng H
Protein & cell 2024 Nov 1;15(11):840-857
		Protein & cell 2024 Nov 1;15(11):840-857
Elevated c-kit expression in failed autologous arteriovenous fistulas in end-stage renal disease patients.
			Du J, Li Y, Jia X, Kong X, Liang L, Wang D, Li A, Chen Q, Su H, Li W, Xu D
The journal of vascular access 2024 Mar;25(2):423-431
		The journal of vascular access 2024 Mar;25(2):423-431
A novel regulatory sex-skewing method that inhibits testicular DPY30 expression to increase female rate of dairy goat offspring.
			He H, Li X, Li J, Ning Y, Luo J, Shi H
Journal of animal science 2024 Jan 3;102
		Journal of animal science 2024 Jan 3;102
Stromal-derived MAOB promotes prostate cancer growth and progression.
			Pu T, Wang J, Wei J, Zeng A, Zhang J, Chen J, Yin L, Li J, Lin TP, Melamed J, Corey E, Gao AC, Wu BJ
Science advances 2024 Feb 9;10(6):eadi4935
		Science advances 2024 Feb 9;10(6):eadi4935
Four novel mutations identification in 17 beta-hydroxysteroid dehydrogenase-3 deficiency and our clinical experience: possible benefits of early treatment.
			Wang Y, Xu Y, Zhang H, Yin D, Pan Y, He X, Li S, Cheng Z, Zhu G, Zhao T, Huang H, Zhu M
Frontiers in endocrinology 2023;14:1267967
		Frontiers in endocrinology 2023;14:1267967
Primary extra-gastrointestinal stromal tumor of retroperitoneum: Clinicopathologic characteristics and prognosis of six cases.
			Lin J, Liao W, Wang J, Li W, Tang X, Li H, Yi X, Lu X, Chen Z, Zhu B, Feng X, Diao D
Frontiers in oncology 2023;13:1033598
		Frontiers in oncology 2023;13:1033598
Characterization of a Human Gastrointestinal Stromal Tumor Cell Line Established by SV40LT-Mediated Immortalization.
			Hu X, Su P, Liu B, Guo J, Wang Z, He C, Wang Z, Kou Y
International journal of molecular sciences 2023 Sep 4;24(17)
		International journal of molecular sciences 2023 Sep 4;24(17)
Treatment with imatinib was useful to delay the neointimal hyperplasia of aortocaval fistula in adenine-induced renal failure rats.
			Du J, Song J, Ding L, Fan X, Lin L, Li A, Liang L, Kong X
Biochemical and biophysical research communications 2023 Sep 10;672:10-16
		Biochemical and biophysical research communications 2023 Sep 10;672:10-16
Characteristics of the Cajal interstitial cells and intestinal microbiota in children with refractory constipation.
			Yuan Y, Lu Y, Zhang Z, Cheng W, Yan K, Zheng Y, Jin Y, Liu Z
Microbial pathogenesis 2023 Nov;184:106373
		Microbial pathogenesis 2023 Nov;184:106373
Accelerating Wound Closure With Metrnl in Normal and Diabetic Mouse Skin.
			Song L, Chang X, Hu L, Liu L, Wang G, Huang Y, Xu L, Jin B, Song J, Hu L, Zhang T, Wang Y, Xiao Y, Zhang F, Shi M, Liu L, Chen Q, Guo B, Zhou Y
Diabetes 2023 Nov 1;72(11):1692-1706
		Diabetes 2023 Nov 1;72(11):1692-1706
Exposure to elevated temperature affects the expression of PIWI-interacting RNAs and associated transcripts in mouse testes.
			Chen W, Zhao Z, Cen S, Lv D, Wu J, Zhou X, Yang T, Zhao T, Hou L, Mao X
Andrology 2023 May;11(4):724-737
		Andrology 2023 May;11(4):724-737
Receptor tyrosine kinase C-kit promotes a destructive phenotype of FLS in osteoarthritis via intracellular EMT signaling.
			Cao X, Wu S, Wang X, Huang J, Zhang W, Liang C
Molecular medicine (Cambridge, Mass.) 2023 Mar 23;29(1):38
		Molecular medicine (Cambridge, Mass.) 2023 Mar 23;29(1):38
Electroacupuncture improves cardiac function after myocardial infarction by regulating the mobilization and migration of endogenous stem cells.
			Xuan SS, Zhao Y, Zheng Y, Zhu J, Li H, Lu PP, Shao SJ, Guo HD, Mou FF
Acupuncture in medicine : journal of the British Medical Acupuncture Society 2023 Dec;41(6):354-363
		Acupuncture in medicine : journal of the British Medical Acupuncture Society 2023 Dec;41(6):354-363
Acceleration of melanocyte senescence by the proinflammatory cytokines IFNγ and TNFα impairs the repigmentation response of vitiligo patients to narrowband ultraviolet B (NBUVB) phototherapy.
			Dong BQ, Liao ZK, Le Y, Jiang S, Luo LF, Miao F, Le Poole IC, Lei TC
Mechanisms of ageing and development 2023 Apr;211:111779
		Mechanisms of ageing and development 2023 Apr;211:111779
Identification of the Prognostic Biomarkers CBX6 and CBX7 in Bladder Cancer.
			Li X, Li L, Xiong X, Kuang Q, Peng M, Zhu K, Luo P
Diagnostics (Basel, Switzerland) 2023 Apr 11;13(8)
		Diagnostics (Basel, Switzerland) 2023 Apr 11;13(8)
Preclinical Evaluation of the Multiple Tyrosine Kinases Inhibitor Anlotinib in Leukemia Stem Cells.
			Jiang Y, Liu L, Jiang Y, Li Z, Feng L, Zhuang X, Lin Z, Chen Q, Chen G, He J, Li G, Zha J, Xu B
Pharmaceuticals (Basel, Switzerland) 2022 Oct 25;15(11)
		Pharmaceuticals (Basel, Switzerland) 2022 Oct 25;15(11)
Bufalin Inhibits Tumorigenesis, Stemness, and Epithelial-Mesenchymal Transition in Colorectal Cancer through a C-Kit/Slug Signaling Axis.
			Ding L, Yang Y, Lu Q, Qu D, Chandrakesan P, Feng H, Chen H, Chen X, Liao Z, Du J, Cao Z, Weygant N
International journal of molecular sciences 2022 Nov 1;23(21)
		International journal of molecular sciences 2022 Nov 1;23(21)
Single-Cell Sequencing Unveils the Heterogeneity of Nonimmune Cells in Chronic Apical Periodontitis.
			Lin X, Chi D, Meng Q, Gong Q, Tong Z
Frontiers in cell and developmental biology 2021;9:820274
		Frontiers in cell and developmental biology 2021;9:820274
Comparative Transcriptome Analysis Reveals Relationship among mRNAs, lncRNAs, and circRNAs of Slow Transit Constipation.
			Yan S, Yue Y, Sun M, Chen Y, Wang X, Qian H
BioMed research international 2021;2021:6672899
		BioMed research international 2021;2021:6672899
Immune Infiltrating Cells-Derived Risk Signature Based on Large-scale Analysis Defines Immune Landscape and Predicts Immunotherapy Responses in Glioma Tumor Microenvironment.
			Zhang N, Zhang H, Wang Z, Dai Z, Zhang X, Cheng Q, Liu Z
Frontiers in immunology 2021;12:691811
		Frontiers in immunology 2021;12:691811
SDF-1α promotes repair of myocardial ischemic necrosis zones in rats.
			Cai X, Zhu Z, Zhang Y, Tian X
International journal of clinical and experimental pathology 2019;12(6):1956-1967
		International journal of clinical and experimental pathology 2019;12(6):1956-1967
The role of high serum CXCL13 level in Waldenström macroglobulinemia.
			Wu YY, Cai H, Zhao AL, Zhang L, Zhou DB, Cao XX, Li J
Leukemia research 2019 Jun;81:50-55
		Leukemia research 2019 Jun;81:50-55
RNA-Seq-based transcriptomic profiling of primary interstitial cells of Cajal in response to bovine viral diarrhea virus infection.
			Li S, Hu X, Tian R, Guo Y, Chen J, Li Z, Zhao X, Kuang L, Ran D, Zhao H, Zhang X, Wang J, Xia L, Yue J, Yao G, Fu Q, Shi H
Veterinary research communications 2019 Aug;43(3):143-153
		Veterinary research communications 2019 Aug;43(3):143-153
Growth differentiation factor 15 contributes to marrow adipocyte remodeling in response to the growth of leukemic cells.
			Lu W, Wan Y, Li Z, Zhu B, Yin C, Liu H, Yang S, Zhai Y, Yu Y, Wei Y, Shi J
Journal of experimental & clinical cancer research : CR 2018 Mar 22;37(1):66
		Journal of experimental & clinical cancer research : CR 2018 Mar 22;37(1):66
Orai1 mediates tumor-promoting store-operated Ca(2+) entry in human gastrointestinal stromal tumors via c-KIT and the extracellular signal-regulated kinase pathway.
			Wang L, Hao J, Zhang Y, Yang Z, Cao Y, Lu W, Shu Y, Jiang L, Hu Y, Lv W, Liu Y, Dong P
Tumour biology : the journal of the International Society for Oncodevelopmental Biology and Medicine 2017 Feb;39(2):1010428317691426
		Tumour biology : the journal of the International Society for Oncodevelopmental Biology and Medicine 2017 Feb;39(2):1010428317691426
Effects and mechanism of RhoC downregulation in suppressing ovarian cancer stem cell proliferation, drug resistance, invasion and metastasis.
			Sang XB, Sun KX, Wang LL, Chen S, Wu DD, Zong ZH, Zhao Y
Oncology reports 2016 Dec;36(6):3267-3274
		Oncology reports 2016 Dec;36(6):3267-3274
				No comments: Submit comment	
	
			
							
					Supportive validation
					
									
				
				- Submitted by
 - Proteintech Group (provider)
 - Main image
 
- Experimental details
 - MCF7 cells were subjected to SDS PAGE followed by western blot with 18696-1-AP(KIT antibody) at dilution of 1:200
 - Sample type
 - cell line
 
							
					Supportive validation
					
									
				
				- Submitted by
 - Proteintech Group (provider)
 - Main image
 
- Experimental details
 - Immunohistochemical of paraffin-embedded human testis using 18696-1-AP(KIT antibody) at dilution of 1:400 (under 10x lens)
 - Sample type
 - tissue
 
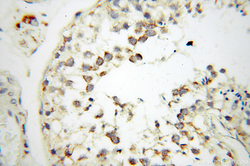
- Submitted by
 - Proteintech Group (provider)
 - Main image
 
- Experimental details
 - Immunohistochemical of paraffin-embedded human testis using 18696-1-AP(KIT antibody) at dilution of 1:400 (under 40x lens)
 - Sample type
 - tissue
 
							
					Supportive validation
					
									
				
		
		- Submitted by
 - Proteintech Group (provider)
 - Main image
 
- Experimental details
 - The c-Kit/CD117 antibody from Proteintech is a rabbit polyclonal antibody to a peptide of human c-Kit/CD117. This antibody recognizes human antigen. The c-Kit/CD117 antibody has been validated for the following applications: ELISA, WB, IHC, FC analysis.