Antibody data
- Antibody Data
- Antigen structure
- References [0]
- Comments [0]
- Validations
- Immunohistochemistry [1]
Submit
Validation data
Reference
Comment
Report error
- Product number
- PB10038 - Provider product page

- Provider
- Boster Biological Technology
- Product name
- Anti-ALDH7A1 Antibody Picoband™
- Antibody type
- Polyclonal
- Description
- Polyclonal antibody for ALDH7A1 detection. Host: Rabbit.Size: 100μg/vial. Tested applications: WB, IHC-P, ICC/IF. Reactive species: Human. ALDH7A1 information: Molecular Weight: 58487 MW; Subcellular Localization: Cytoplasm, cytosol . Nucleus ; Tissue Specificity: Abundant in hepatoma cells and fetal cochlea, ovary, eye, heart, adrenal gland, liver and kidney. Low levels present in adult peripheral blood leukocytes and fetal brain, thymus, spleen, skeletal muscle, lung and tongue.
- Reactivity
- Human, Mouse, Rat
- Host
- Rabbit
- Vial size
- 100μg/vial
- Concentration
- Add 0.2ml of distilled water will yield a concentration of 500ug/ml.
- Storage
- At -20°C for one year. After reconstitution, at 4°C for one month. It can also be aliquoted and stored frozen at -20°C for a longer time. Avoid repeated freezing and thawing.
- Handling
- Add 0.2ml of distilled water will yield a concentration of 500ug/ml.
No comments: Submit comment
Supportive validation
- Submitted by
- Boster Biological Technology (provider)
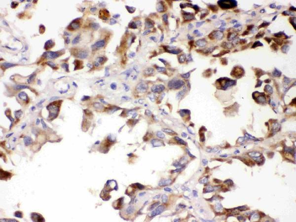
- Main image

- Experimental details
- IHC analysis of ALDH7A1 using anti-ALDH7A1 antibody (PB10038). ALDH7A1 was detected in paraffin-embedded section of human lung cancer tissues. Heat mediated antigen retrieval was performed in citrate buffer (pH6, epitope retrieval solution) for 20 mins. The tissue section was blocked with 10% goat serum. The tissue section was then incubated with 1μg/ml rabbit anti-ALDH7A1 Antibody (PB10038) overnight at 4°C. Biotinylated goat anti-rabbit IgG was used as secondary antibody and incubated for 30 minutes at 37°C. The tissue section was developed using Strepavidin-Biotin-Complex (SABC)(Catalog # SA1022) with DAB as the chromogen.
- Additional image
