Antibody data
- Antibody Data
- Antigen structure
- References [1]
- Comments [0]
- Validations
- Western blot [3]
- Immunohistochemistry [1]
Submit
Validation data
Reference
Comment
Report error
- Product number
- NBP2-15553 - Provider product page

- Provider
- Novus Biologicals
- Product name
- Rabbit Polyclonal BCKDK Antibody
- Antibody type
- Polyclonal
- Description
- Immunogen affinity purified.
- Reactivity
- Human, Mouse, Rat
- Host
- Rabbit
- Isotype
- IgG
- Vial size
- 0.1 ml
- Storage
- Aliquot and store at -20C or -80C. Avoid freeze-thaw cycles.
Submitted references Glucose promotes cell growth by suppressing branched-chain amino acid degradation.
Shao D, Villet O, Zhang Z, Choi SW, Yan J, Ritterhoff J, Gu H, Djukovic D, Christodoulou D, Kolwicz SC Jr, Raftery D, Tian R
Nature communications 2018 Jul 26;9(1):2935
Nature communications 2018 Jul 26;9(1):2935
No comments: Submit comment
Supportive validation
- Submitted by
- Novus Biologicals (provider)
- Main image

- Experimental details
- Western Blot: BCKDK Antibody [NBP2-15553] - Sample (50 ug of whole cell lysate) A: Mouse Brain, 10% SDS PAGE gel, diluted at 1:1000.
- Submitted by
- Novus Biologicals (provider)
- Main image

- Experimental details
- Western Blot: BCKDK Antibody [NBP2-15553] - Rat tissue extract (50 ug) was separated by 10% SDS-PAGE, and the membrane was blotted with BCKDK antibody [N1C2] diluted at 1:1000.
- Submitted by
- Novus Biologicals (provider)
- Main image

- Experimental details
- Western Blot: BCKDK Antibody [NBP2-15553] - Sample (30 ug of whole cell lysate) A: 293T 10% SDS PAGE diluted at 1:1000.
Supportive validation
- Submitted by
- Novus Biologicals (provider)
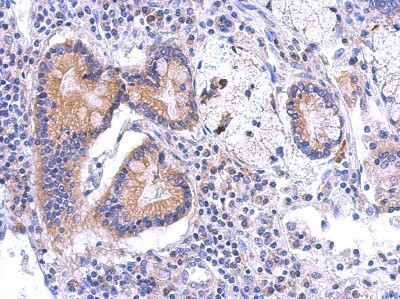
- Main image

- Experimental details
- Immunohistochemistry-Paraffin: BCKDK Antibody [NBP2-15553] - Immunohistochemical analysis of paraffin-embedded gastric ca, using antibody at 1:500 dilution.