R31304
antibody from NSJ Bioreagents
Targeting: IGF2R
CD222, CI-M6PR, CI-MPR, CIMPR, M6P-R, MPR1, MPR300, MPRI
Antibody data
- Antibody Data
- Antigen structure
- References [0]
- Comments [0]
- Validations
- Western blot [2]
- Immunocytochemistry [1]
- Immunohistochemistry [1]
- Flow cytometry [1]
Submit
Validation data
Reference
Comment
Report error
- Product number
- R31304 - Provider product page

- Provider
- NSJ Bioreagents
- Product name
- IGF2R Antibody / M6PR
- Antibody type
- Polyclonal
- Description
- This highly specific IGF2R antibody is suitable for use in Western blot/Flow cytometry applications with human, mouse and rat samples.
- Reactivity
- Human, Mouse, Rat
- Host
- Rabbit
- Conjugate
- Unconjugated
- Vial size
- 100 ug
- Concentration
- 0.5mg/ml if reconstituted with 0.2ml sterile DI water
- Storage
- After reconstitution, the IGF2R antibody can be stored for up to one month at 4oC. For long-term, aliquot and store at -20oC. Avoid repeated freezing and thawing.
No comments: Submit comment
Supportive validation
- Submitted by
- NSJ Bioreagents (provider)
- Main image

- Experimental details
- Western blot testing of human 1) HeLa, 2) Jurkat, 3) 22RV1 and 4) 293T cell lysate with IGF2R antibody at 1ug/ml. Expected/observed molecular weight ~274 kDa.
- Submitted by
- NSJ Bioreagents (provider)
- Main image

- Experimental details
- Western blot testing of 1) human HeLa, 2) human U-87 MG, 3) human HepG2, 4) rat PC-12 and 5) mouse NIH3T3 cell lysate with IGF2R antibody at 0.5ug/ml. Expected molecular weight ~274 kDa.
Supportive validation
- Submitted by
- NSJ Bioreagents (provider)
- Main image

- Experimental details
- ICC testing of IGF2R antibody and HCT116 cells
Supportive validation
- Submitted by
- NSJ Bioreagents (provider)
- Main image

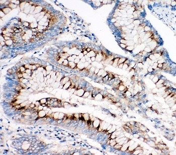
- Experimental details
- IHC-P: IGF2R antibody testing of human intestine cancer tissue
Supportive validation
- Submitted by
- NSJ Bioreagents (provider)
- Main image

- Experimental details
- Flow cytometry testing of fixed and permeabilized human HepG2 cells with IGF2R antibody at 1ug/million cells (blocked with goat sera); Red=cells alone, Green=isotype control, Blue= IGF2R antibody.