Antibody data
- Antibody Data
- Antigen structure
- References [0]
- Comments [0]
- Validations
- Immunohistochemistry [1]
Submit
Validation data
Reference
Comment
Report error
- Product number
- GTX16111 - Provider product page

- Provider
- GeneTex
- Proper citation
- GeneTex Cat#GTX16111, RRID:AB_369531
- Product name
- Cytokeratin Type II antibody [AE3]
- Antibody type
- Monoclonal
- Reactivity
- Human
- Host
- Mouse
- Storage
- Store at 2-8¢XC. For extended storage, aliquot and store at -20°C. Avoid repeated freeze-thaw cycles.
No comments: Submit comment
Supportive validation
- Submitted by
- GeneTex (provider)
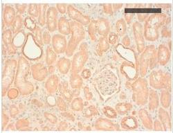
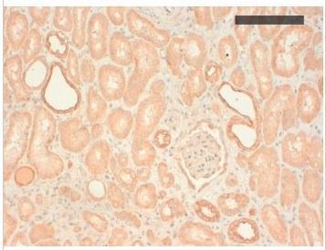
- Main image

- Experimental details
- Immunohistochemical analysis of paraffin embedded human kidney with cytokeratin type II antibody [AE3]